Diagnostic Criteria and Algorithm
An early and accurate diagnosis of idiopathic pulmonary fibrosis (IPF) is critical. Early diagnosis of IPF allows for appropriate management of symptoms and quality-of-life issues in patients with this disease.1-3 It’s essential for timely referral to a lung transplant center for patients with advanced disease.4
CURRENT DIAGNOSTIC CRITERIA FOR IPF
According to the 2018 ATS/ERS/JRS/ALAT guideline criteria, diagnosing IPF requires the following:5
- Exclusion of other known causes of interstitial lung disease (ILD) and either #2 or #3
- A usual interstitial pneumonia (UIP) pattern on high resolution computed tomography (HRCT)
- Specific combinations of HRCT and histopathology patterns in patients who undergo a surgical lung biopsy (SLB)
DIAGNOSTIC ALGORITHM6

Reprinted with permission of the American Thoracic Society. Copyright © 2022 American Thoracic Society. All rights reserved. Raghu G et al. 2022. Idiopathic Pulmonary Fibrosis (an Update) and Progressive Pulmonary Fibrosis in Adults: An Official ATS/ERS/JRS/ALAT Clinical Practice Guideline. Am J Respir Crit Care Med. 205(9):e18-e47. The American Journal of Respiratory and Critical Care Medicine is an official journal of the American Thoracic Society.
*Patients with a radiological pattern of probable usual interstitial pneumonia (UIP) can receive a diagnosis of IPF after multidisciplinary discussion (MDD) without confirmation by lung biopsy in the appropriate clinical setting (e.g., 60 yr old, male, smoker). BAL may be appropriate in some patients with a probable UIP pattern.
†BAL may be performed before MDD in some patients evaluated in experienced centers.
‡Transbronchial lung cryobiopsy (TBLC) may be preferred to surgical lung biopsy (SLB) in centers with appropriate expertise and/or in some patient populations, as described in the text. A subsequent SLB may be justified in some patients with nondiagnostic findings on TBLC.
When you suspect a patient has ILD, the first things to do are:5-8
- Perform a physical exam
- Take a complete history, including exposures
- Evaluate pulmonary function through pulmonary function tests (PFTs)
POSSIBLE CLINICAL FEATURES IN PATIENTS SUSPECTED OF HAVING ILD
Physical Exam5
- Typically affects adults >60 years of age
- Chronic exertional dyspnea
- Dry, nonproductive cough
- Crackles or rales on auscultation
- May show signs of digital clubbing
History5
- Current or former smoker
- Exposure to any number of dusts (e.g., stone, silica, wood)
- Agriculture and/or bird exposures
- Viral exposures (e.g., Hepatitis C)
- Family history of pulmonary fibrosis
PFT results9,10
- Restrictive physiology
- Reduced TLC
- Increased FEV1/FVC ratio
- Reduced DLCO
- Reduced predicted FVC
- Desaturation on exertion
IDENTIFIABLE CAUSES AND ASSOCIATED CONDITIONS
Many ILDs have identifiable causes:11
- Hypersensitivity pneumonitis
- Asbestosis
- Silicosis
- Post-infectious ILD
- Drug-induced ILD
If there are obvious causes of ILD based on patient history, continue with further evaluation in pursuit of a specific diagnosis. If no specific diagnosis can be reached, proceed to HRCT testing (below).5,6
If there are no obvious causes of ILD based on patient history, you should continue to suspect IPF.5,6
CONNECTIVE TISSUE DISORDER (CTD)
The next step is to consider performing serologic testing to evaluate for CTD.5-7
- Screens include: Rheumatoid factor (RF), anti-cyclic citrullinated peptide (anti-CCP), antinuclear antibody (ANA)
These tests should be paired with clinical signs of CTD (e.g., arthralgia/synovitis, proximal muscle weakness, Raynaud’s phenomenon).5-7
If there are no elevations in CTD markers, you should continue to suspect IPF.5,6
HRCT
Next, patients should have an HRCT performed.5,6
- The positive predictive value of a definite UIP pattern on HRCT is 90%-100%12-17
- UIP pattern on HRCT should be paired with an exclusion of other causes of ILD before reaching a diagnosis of IPF5,6
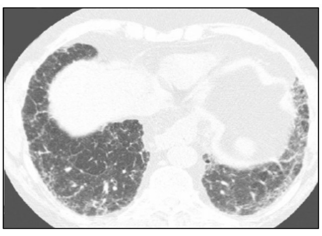
HRCT: UIP PATTERN5,6,18
- Subpleural, basal predominance
- Heterogeneous distribution of areas of normal lung and fibrosis; may also be diffuse and asymmetric
- Honeycombing with or without traction bronchiectasis/bronchiolectasis
Overlay of reticular pattern and mild ground glass opacity (GGO)

Image courtesy of and used with permission from Sudhakar Pipavath, MD.
A UIP pattern on HRCT, paired with a lack of identifiable cause, is sufficient to diagnose IPF.5,6,18
HRCT: PROBABLE UIP PATTERN5,6,18
- Subpleural, basal predominance
- Heterogeneous distribution of areas of normal lung and traction bronchiectasis/bronchiolectasis
- Reticulation accompanied by traction bronchiectasis/bronchiolectasis
- Some mild GGO
Subpleural sparing absent

Image used with permission from the American Thoracic Society. © 2014. Raghu G et al.6
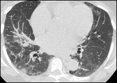
HRCT: INDETERMINATE FOR UIP5,6,18
- Distribution is diffuse without subpleural predominance
Indeterminate CT features of fibrosis that does not suggest specific etiology

Image courtesy of and used with permission from Robert Suh, MD.
HRCT: ALTERNATIVE DIAGNOSIS5,6,18
- Consider nonspecific interstitial pneumonia (NSIP) if peribronchovascular predominance and subpleural sparing is present
- Consider sarcoidosis if perilymphatic in distribution
- Consider fibrotic hypersensitivity pneumonitis (HP), CTD-ILD, sarcoidosis if upper or mid lung distribution
- Consider NSIP or smoking-related interstitial pneumonia (IP) if there is subpleural sparing
- Substantial presence of:
- Cysts
- Mosaic attenuation
- Ground glass opacity
- Nodules/centrilobular micronodules
Consolidation

Image courtesy of and used with permission from Jonathan Goldin, MD, PhD.
MDD
Cases of probable UIP pattern on HRCT can be given a diagnosis of IPF after multidisciplinary discussion (MDD) without a lung biopsy to confirm.6 BAL may be considered in select patients with a probable UIP pattern.6
Cases of indeterminate or alternative diagnosis on HRCT should undergo biopsy (when possible) and MDD to ensure a more accurate diagnosis.5,6,17
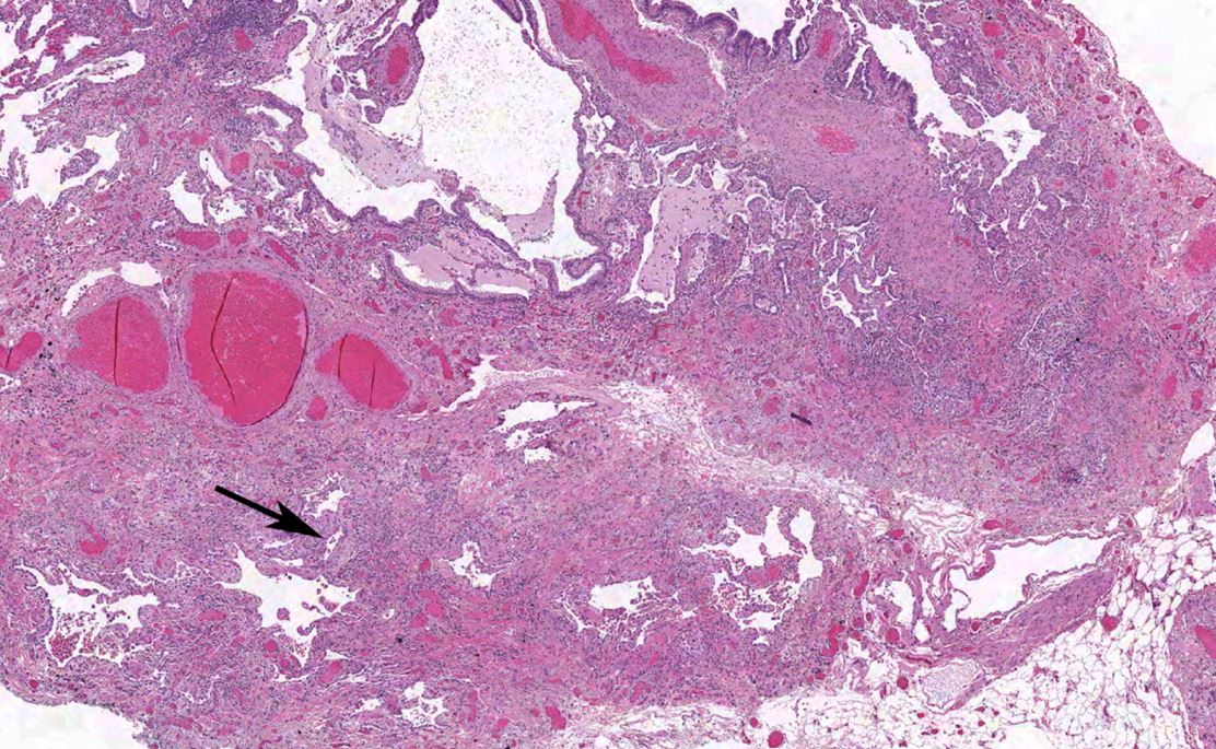
HISTOPATHOLOGY: UIP PATTERN5,6,18
- Dense fibrosis with architectural distortion (i.e., destructive scarring and/or honeycombing)
- Predominant subpleural and/or paraseptal distribution of fibrosis
- Patchy involvement of lung parenchyma by fibrosis
- Fibroblast foci
Absence of features to suggest an alternate diagnosis

Image used with permission from the American Thoracic Society.
© 2018. Raghu G et al.5
HISTOPATHOLOGY: PROBABLE UIP PATTERN5,6,18
- Some histologic features from UIP are present but to an extent that precludes definite diagnosis of UIP/IPF AND
Absence of features to suggest an alternative diagnosis (see alternative diagnosis section)

Image used with permission from the American Thoracic Society.
© 2018. Raghu G et al.5
HISTOPATHOLOGY: INDETERMINATE FOR PATTERN5,18
- Fibrosis with or without architectural distortion, with features favoring either a pattern other than UIP or features favoring UIP secondary to another cause
Some histologic features of UIP, but with other features suggesting an alternative diagnosis

Image used with permission from the American Thoracic Society.
© 2018. Raghu G et al.5
HISTOPATHOLOGY: ALTERNATIVE DIAGNOSIS5,18
- Features of other histologic patterns of idiopathic interstitial pneumonias (e.g., absence of fibroblast foci or loose fibrosis) in all biopsies
Histologic findings indicative of other diseases (e.g., hypersensitivity pneumonitis, Langerhans cell histiocytosis, sarcoidosis, lymphangioleiomyomatosis)

Image courtesy of and used with permission from Kirk Jones, MD.
MDD
An MDD provides a sounding board to evaluate all evidence to come up with a consensus diagnosis, whether that is IPF or another ILD.5,6,18
In select patients and/or expert medical centers, transbronchial lung cryobiopsy (TBLC) may be an acceptable alternative to SLB.6 However, tissue obtained via TBLC is more likely to show a probable UIP pattern than a definite UIP pattern, compared to SLB, due to the limited capabilities of TBLC to acquire subpleural lung samples.6 By combining UIP and probable UIP patterns in the setting of a MDD, diagnostic agreement for SLB and TBLC in IPF patients was seen to be comparable.6
DESIGNATING THE HRCT AND HISTOPATHOLOGY PATTERN

Reprinted with permission of the American Thoracic Society. Copyright © 2022 American Thoracic Society. All rights reserved. Raghu G et al. 2022. Idiopathic Pulmonary Fibrosis (an Update) and Progressive Pulmonary Fibrosis in Adults: An Official ATS/ERS/JRS/ALAT Clinical Practice Guideline. Am J Respir Crit Care Med. 205(9):e18-e47. The American Journal of Respiratory and Critical Care Medicine is an official journal of the American Thoracic Society
*“Clinically suspected of having IPF” is defined as unexplained patterns of bilateral pulmonary fibrosis on chest radiography or chest computed tomography, bibasilar inspiratory crackles, and age > 60 years. Middle-aged adults (>40 and <60 yr old) can rarely present with otherwise similar clinical features, especially in patients with features suggesting familial pulmonary fibrosis.
†Diagnostic confidence may need to be downgraded if histopathological assessment is based on transbronchial lung cryobiopsy given the smaller biopsy size and greater potential for sampling error compared with surgical lung biopsy.
‡IPF is the likely diagnosis when any of the following features are present: 1) moderate to severe traction bronchiectasis and/or bronchiolectasis (defined as mild traction bronchiectasis and/or bronchiolectasis in four or more lobes, including the lingula as a lobe, or moderate to severe traction bronchiectasis in two or more lobes) in a man >50 years old or in a woman >60 yr old, 2) extensive (>30%) reticulation on HRCT and age > 70 yr, 3) increased neutrophils and/or absence of lymphocytosis in BAL fluid, and 4) multidisciplinary discussion produces a confident diagnosis of IPF.
§Indeterminate for IPF 1) without an adequate biopsy remains indeterminate and 2) with an adequate biopsy may be reclassified to a more specific diagnosis after multidisciplinary discussion and/or additional consultation.
REFERENCES
- Wells AU. Managing diagnostic procedures in idiopathic pulmonary fibrosis. Eur Respir Rev. 2013;22(128):158-62. doi: 10.1183/09059180.00001213.
- du Bois RM. An earlier and more confident diagnosis of idiopathic pulmonary fibrosis. Eur Respir Rev. 2012;21(124):141-6. doi: 10.1183/09059180.00000812.
- Lamas DJ, Kawut SM, Bagiella E, et al. Delayed access and survival in idiopathic pulmonary fibrosis: a cohort study. Am J Respir Crit Care Med. 2011;184(7):842-7. doi: 10.1164/rccm.201104-0668OC.
- Collard HR, King TE, Bartelson BB, et al. Changes in clinical and physiologic variables predict survival in idiopathic pulmonary fibrosis. Am J Respir Crit Care Med. 2003;168(5):538-42. doi: 10.1164/rccm.200211-1311OC.
- Raghu G, Remy-Jardin M, Myers JL, et al. Diagnosis of Idiopathic Pulmonary Fibrosis. An Official ATS/ERS/JRS/ALAT Clinical Practice Guideline. Am J Respir Crit Care Med. 2018;198(5):e44-e68. doi: 10.1164/rccm.201807-1255ST.
- Raghu G, Remy-Jardin M, Richeldi L, et al. Idiopathic Pulmonary Fibrosis (an Update) and Progressive Pulmonary Fibrosis in Adults: An Official ATS/ERS/JRS/ALAT Clinical Practice Guideline. Am J Respir Crit Care Med. 2022;205(9):e18-e47. doi:10.1164/rccm.202202-0399ST.
- Raghu G, Collard HR, Jim J Egan, et al. An official ATS/ERS/JRS/ALAT statement: idiopathic pulmonary fibrosis: evidence-based guidelines for diagnosis and management. Am J Respir Crit Care Med. 2011;183(6):788-824. doi: 10.1164/rccm.2009-040GL.
- Ley B, Collard HR, King TE. Clinical course and prediction of survival in idiopathic pulmonary fibrosis. Am J Respir Crit Care Med. 2011;183(4):431-440. doi: 10.1164/rccm.201006-0894CI.
- Pellegrino R, Viegi G, Brusasco V, et al. Interpretative strategies for lung function tests. Eur Respir J. 2005;26(5):948-968. doi: 10.1183/09031936.05.00035205.
- Meltzer EB, Noble PW. Idiopathic pulmonary fibrosis. Orphanet J Rare Dis. 2008;3:8. doi: 10.1186/1750-1172-3-8.
- European Respiratory Society. White Book: lLDs. https://www.erswhitebook.org/chapters/interstitial-lung-diseases/.
- Mathieson JR, Mayo JR, Staples CA, et al. Chronic diffuse infiltrative lung disease: comparison of diagnostic accuracy of CT and chest radiography. Radiol. 1989;171(1):111-116. doi: 10.1148/radiology.171.1.2928513.
- Hunninghake GW, Zimmerman MB, Schwartz DA, et al. Utility of a lung biopsy for the diagnosis of idiopathic pulmonary fibrosis. Am J Respir Crit Care Med. 2001;164(2):193-196. doi: 10.1164/ajrccm.164.2.2101090.
- Raghu G, Mageto YN, Lockhart D, et al. The accuracy of the clinical diagnosis of new-onset idiopathic pulmonary fibrosis and other interstitial lung disease: A prospective study. Chest. 1999;116(5):1168-74. doi: 10.1378/chest.116.5.1168.
- Grenier P, Valeyre D, Cluzel P, et al. Chronic diffuse interstitial lung disease: diagnostic value of chest radiography and high-resolution CT. Radiology. 1991;179(1):123-132. doi: 10.1148/radiology.179.1.2006262.
- Lee KS, Primack SL, Staples CA, et al. Chronic infiltrative lung disease: comparison of diagnostic accuracies of radiography and low- and conventional-dose thin-section CT. Radiology. 1994;191(3):669-73. doi: 10.1148/radiology.191.3.8184044.
- Swensen SJ, Aughenbaugh GL, Myers JL, et al. Diffuse lung disease: diagnostic accuracy of CT in patients undergoing surgical biopsy of the lung. Radiology. 1997;205(1):229-34. doi: 10.1148/radiology.205.1.9314990.
- Lynch DA, Sverzellati N, Travis WD, et al. Diagnostic criteria for idiopathic pulmonary fibrosis: a Fleischner Society White Paper. Lancet. 2018;6(2):138-153. doi: 10.1016/S2213-2600(17)30433-2.


