What is Idiopathic Pulmonary Fibrosis
IPF IS A DEBILITATING LUNG DISEASE.1
- IPF is a progressive, fatal disease that typically affects adults over 60 years of age,2 with a median survival of 3.8 years from diagnosis, generally the shortest of all ILDs3,a
- IPF is more common in men than women3
- Most patients with IPF have a history of cigarette smoking2,4
- Most patients experience a progressive decline, though the disease course is variable4
- As fibrosis progresses, patients will become more breathless, less mobile, and less independent5
- Patients may experience periods of sudden respiratory decline termed acute exacerbations of IPF,6 which are associated with a high mortality rate7-9
- Symptoms are nonspecific, but patients often present with chronic exertional dyspnea and a dry, nonproductive cough6
- The average time from symptom onset to diagnosis is 1-2 years10-12
- Diagnosis of IPF is difficult, often requiring discussion between pulmonologists, radiologists, and pathologists6,13
- Diagnosis requires a comprehensive patient evaluation including a detailed medical history, exclusion of other possible causes of lung disease, pulmonary function testing, HRCT, and in some cases, surgical lung biopsy6
- Comprehensive care includes disease-focused, symptom-focused, and support-focused management14
ªIn the Medicare population
REFERENCES
- Travis WD, Costabel U, Hansell DM, et al. An official American Thoracic Society/European Respiratory Society statement: Update of the international multidisciplinary classification of the idiopathic interstitial pneumonias. Am J Respir Crit Care Med. 2013;188(6):733-748. doi:10.1164/rccm.201308-1483ST.
- Raghu G, Remy-Jardin M, Myers JL, et al. Diagnosis of Idiopathic Pulmonary Fibrosis. An Official ATS/ERS/JRS/ALAT Clinical Practice Guideline. Am J Respir Crit Care Med. 2018;198(5):e44-e68. doi: 10.1164/rccm.201807-1255ST.
- Raghu G, Chen S-Y, Yeh W-S, et al. Idiopathic pulmonary fibrosis in US Medicare beneficiaries aged 65 years and older: incidence, prevalence, and survival, 2001-11. Lancet Respir Med. 2014;2(7):566-572. doi: 10.1016/S2213-2600(14)70101-8.
- Raghu G, Collard HR, Egan JJ, et al. An official ATS/ERS/JRS/ALAT statement: idiopathic pulmonary fibrosis: evidence-based guidelines for diagnosis and management . Am J Respir Crit Care Med. 2011;183(6):788-824. doi: 10.1164/rccm.2009-040GL.
- Swigris JJ, Stewart AL, Gould MK, et al. Patients' perspectives on how idiopathic pulmonary fibrosis affects the quality of their lives. Health Qual Life Outcomes. 2005;3:61. doi: 10.1186/1477-7525-3-61.
- Raghu G, Weycker D, Edelsberg J, Bradford WZ, Os-ter G. Incidence and prevalence of idiopathic pulmonary fibrosis. Am J Respir Crit Care Med. 2006;174(7):810-816. doi:10.1164/rccm.200602-163OC.
- Kubo H, Nakayama K, Yanai M, et al. Anticoagulant therapy for idiopathic pulmonary fibrosis. Chest. 2005;128(3):1475-1482. doi: 10.1378/chest.128.3.1475.
- Kim DS, Park JH, Park BK, et al. Acute exacerbation of idiopathic pulmonary fibrosis: frequency and clinical features. Eur Respir J. 2006;27(1):143-150. doi: 10.1183/09031936.06.00114004.
- Daniels CE, Yi ES, Ryu JH. Autopsy findings in 42 consecutive patients with idiopathic pulmonary fibrosis. Eur Respir J. 2008;32:170-174. doi: 10.1183/09031936.00176307.
- Ley B, Collard HR, King TE Jr. Clinical course and prediction of survival in idiopathic pulmonary fibrosis. Am J Respir Crit Care Med. 2011;183(4):431-440. doi:10.1164/rccm.201006-0894CI.
- King TE, Schwarz MI, Brown K, et al. Idiopathic pulmonary fibrosis: relationship between histopathologic features and mortality. Am J Respir Crit Care Med. 2001;164(6):1025-1032. doi: 10.1164/ajrccm.164.6.2001056.
- Jegal Y, Kim DS, Shim TS, et al. Physiology is a stronger predictor of survival than pathology in fibrotic interstitial pneumonia. Am J Respir Crit Care Med. 2005;171(6):639-644. doi: 10.1164/rccm.200403-331OC.
- Flaherty KR, King TE, Raghu G, et al. Idiopathic interstitial pneumonia: what is the effect of a multidisciplinary approach to diagnosis?. Am J Respir Crit Care Med. 2004;170(8):904-910. doi: 10.1164/rccm.200402-147OC.
- Lee JS, McLaughlin S, Collard HR. Comprehensive care of the patient with idiopathic pulmonary fibrosis. Curr Opin Pulm Med. 2011;17(5):348-354. doi: 10.1097/MCP.0b013e328349721b.
REFERENCES
- In the Medicare population
- Patients must meet all 5 criteria to have a definite case of AE-IPF; cases that do not meet all criteria should be termed “suspected acute exacerbation''.
- Spagnolo P, Tonelli R,Concconcelli E, et al. Idiopathic pulmonary fibrosis: diagnostic pitfalls and therapeutic challenges. Multidiscip Respir Med. 2012;7(1):42. doi: 10.1186/2049-6958-7-42.
- American Thoracic Society. American Thoracic Society/European Respiratory Society International Multidisciplinary Consensus Classification of the Idiopathic Interstitial Pneumonias. Am J Respir Crit Care Med. 2002;165(2):277-304. doi: 10.1164/ajrccm.165.2.ats01.
- Travis WD, Costabel U, Hansell DM, et al. An official American Thoracic Society/European Respiratory Society statement: Update of the international multidisciplinary classification of the idiopathic interstitial pneumonias. Am J Respir Crit Care Med. 2013:188(6):733-748. doi: 10.1164/rccm.201308-1483ST.
- Ryerson CJ, Collard HR. Update on the diagnosis and classification of ILD. Curr Opin Pulm Med. 2013;19(5):453-459. doi: 10.1097/MCP.0b013e328363f48d.
- Raghu G, Collard HR, Egan JJ, et al. An official ATS/ERS/JRS/ALAT statement: idiopathic pulmonary fibrosis: evidence-based guidelines for diagnosis and management. Am J Respir Crit Care Med. 2011;183(6):788-824. doi: 10.1164/rccm.2009-040GL.
- Raghu G, Remy-Jardin M, Myers JL, et al. Diagnosis of Idiopathic Pulmonary Fibrosis. An Official ATS/ERS/JRS/ALAT Clinical Practice Guideline. Am J Respir Crit Care Med. 2018;198(5):e44-e68. doi: 10.1164/rccm.201807-1255ST.
- Raghu G, Chen S-Y, Yeh W-S, et al. Idiopathic pulmonary fibrosis in US Medicare beneficiaries aged 65 years and older: incidence, prevalence, and survival, 2001-11. Lancet Respir Med. 2014;2(7):566-572. doi: 10.1016/S2213-2600(14)70101-8.
- Swigris JJ, Stewart AL, Gould MK, et al. Patients' perspectives on how idiopathic pulmonary fibrosis affects the quality of their lives. Health Qual Life Outcomes. 2005;3:61. doi: 10.1186/1477-7525-3-61.
- Ley B, Collard HR, King TE. Clinical course and prediction of survival in idiopathic pulmonary fibrosis. Am J Respir Crit Care Med. 2011;183(4):431-40. doi: 10.1164/rccm.201006-0894CI.
- Martinez FJ, Safrin S, Weycker D, et al. The clinical course of patients with idiopathic pulmonary fibrosis. Ann Intern Med. 2005;142(12 Pt 1):963-967. doi: 10.7326/0003-4819-142-12_part_1-200506210-00005.
- King TE, Tooze JA, Schwarz MI, et al. Predicting survival in idiopathic pulmonary fibrosis: scoring system and survival model. Am J Respir Crit Care Med. 2001;164(7):1171-81. doi: 10.1164/ajrccm.164.7.2003140.
- Selman M, Carrillo G, Estrada A, et al. Accelerated variant of idiopathic pulmonary fibrosis: clinical behavior and gene expression pattern. PLoS One. 2007;2(5):e482. doi: 10.1371/journal.pone.0000482.
- Kim DS, Collard HR, King TE. Classification and natural history of the idiopathic interstitial pneumonias. Proc Am Thorac Soc. 2006;3(4):285-292. doi: 10.1513/pats.200601-005TK.
- ATS. American Thoracic Society. Idiopathic pulmonary fibrosis: diagnosis and treatment. International consensus statement. Am J Respir Crit Care Med. 2000;161(2 Pt 1):646-64. doi: 10.1164/ajrccm.161.2.ats3-00.
- Collard HR, Moore BB, Flaherty KR, et al. Acute exacerbations of idiopathic pulmonary fibrosis. Am J Respir Crit Care Med. 2007;176(7):636-643. doi: 10.1164/rccm.200703-463PP.
- Song JW, Hong SB, Lim CM, et al. Acute exacerbation of idiopathic pulmonary fibrosis: incidence, risk factors and outcome. Eur Respir J. 2011;37(2):356-363. doi: 10.1183/09031936.00159709.
- Kondoh Y, Taniguchi H, Katsuta T, et al. Risk factors of acute exacerbation of idiopathic pulmonary fibrosis. Sarcoidosis Vasc Diffuse Lung Dis. 2010;27(2):103-10.
- Shin KM, Lee KS, Chung MP, et al. Prognostic determinants among clinical, thin-section CT, and histopathologic findings for fibrotic idiopathic interstitial pneumonias: tertiary hospital study. Radiology. 2008;249(1):328-337. doi: 10.1148/radiol.2483071378.
- Sumikawa H, Johkoh T, Colby TV, et al. Computed tomography findings in pathological usual interstitial pneumonia: relationship to survival. Am J Respir Crit Care Med. 2008;177(4):433-439. doi: 10.1164/rccm.200611-1696OC.
- Ambrosini V, Cancellieri A, Chilosi M, et al. Acute exacerbation of idiopathic pulmonary fibrosis: report of a series. Eur Respir J. 2003;22(5):821-826. doi: 10.1183/09031936.03.00022703.
- Akira M, Hamada H, Sakatani M, et al. CT findings during phase of accelerated deterioration in patients with idiopathic pulmonary fibrosis. AJR Am J Roentgenol. 1997;168(1):79-83. doi: 10.2214/ajr.168.1.8976924.
- Kim DS, Park JH, Park BK, et al. Acute exacerbation of idiopathic pulmonary fibrosis: frequency and clinical features.Eur Respir J. 2006;27(1):143-150. doi: 10.1183/09031936.06.00114004.
- Collard HR, Ryerson CJ, Corte TJ, at al. Acute Exacerbation of Idiopathic Pulmonary Fibrosis. An International Working Group Report. Am J Respir Crit Care Med. 2016;194(3):265-275. doi: 10.1164/rccm.201604-0801CI.
- Raghu G, Collard HR, Anstrom KJ, et al. Idiopathic pulmonary fibrosis: clinically meaningful primary endpoints in phase 3 clinical trials. Am J Respir Crit Care Med. 2012;185(10):1044-1048. doi: 10.1164/rccm.201201-0006PP.
- Saketkoo LA, Mittoo S, Huscher D, at al. Connective tissue disease related interstitial lung diseases and idiopathic pulmonary fibrosis: provisional core sets of domains and instruments for use in clinical trials. Thorax. 2014;69(5):428-436. doi: 10.1136/thoraxjnl-2013-204202.
- Bajwah S, Ross JR, Peacock JL, et al. Interventions to improve symptoms and quality of life of patients with fibrotic interstitial lung disease: a systematic review of the literature. Thorax. 2013;68(9):867-879. doi: 10.1136/thoraxjnl-2012-202040.
- Lama VN, Flaherty KR, Toews GB, et al. Prognostic value of desaturation during a 6-minute walk test in idiopathic interstitial pneumonia. Am J Respir Crit Care Med. 2003;168(9):1084-1090. doi: 10.1164/rccm.200302-219OC.
- du Bois RM, Weycker D, Albera C, et al. Forced vital capacity in patients with idiopathic pulmonary fibrosis: test properties and minimal clinically important difference. Am J Respir Crit Care Med. 2011;184(12):1382-1389. doi: 10.1164/rccm.201105-0840OC.
- Zappala CJ, Latsi PI, Nicholson AG, et al. Marginal decline in forced vital capacity is associated with a poor outcome in idiopathic pulmonary fibrosis. Eur Respir J. 2010;35(4):830-836. doi: 10.1183/09031936.00155108.
- Ley B, Ryerson CJ, Vittinghoff E, et al. A multidimensional index and staging system for idiopathic pulmonary fibrosis. Ann Intern Med. 2012;156(10):684-691. doi: 10.7326/0003-4819-156-10-201205150-00004.
- Collard HR, Calfee CS, Wolters PJ, et al. Plasma biomarker profiles in acute exacerbation of idiopathic pulmonary fibrosis. Am J Physiol Lung Cell Mol Physiol. 2010;299(1):L3-L7. doi: 10.1152/ajplung.90637.2008.
- Fell CD, Martinez FJ, Liu LX, et al. Clinical predictors of a diagnosis of idiopathic pulmonary fibrosis. Am J Respir Crit Care Med. 2010;181(8):832-837. doi: 10.1164/rccm.200906-0959OC.
- Raghu G, Remy-Jardin M, Myers JL, et al. Diagnosis of Idiopathic Pulmonary Fibrosis. An Official ATS/ERS/JRS/ALAT Clinical Practice Guideline. Am J Respir Crit Care Med. 2018 Sep 1;198(5):e44-e68. doi: 10.1164/rccm.201807-1255ST.
- U.S. Census Bureau, Population Division. Annual Estimate of the Population for the United States, Regions, States, and Puerto Rico: April 1, 2011.
- European Respiratory Society. Interstitial Lung Disease, In:1 Gibson, R Loddenkemper, U Sibille, B Lundback, editors. The European Lung White Book: Respiratory Health and Disease in Europe. 2nd Ed. Sheffield, Cur Respir Son; 2013.
- Douglass W, Ryu JH, Schroeder DR, et al. Idiopathic pulmonary fibrosis: Impact of oxygen and colchicine, prednisone, or no therapy on survival. Am J Respir Crit Care Med. 2000; 161(4 Pt 1):1172-1178. doi: 10.1164/ajrccm.161.4.9907002.
- Gribbin J, Hubbard RB, Le Juene I, et al. Incidence and mortality of idiopathic pulmonary fibrosis and sarcoidosis in the UK. J Thorax. 2006;61:980-985. doi: 10.1136/thx.2006.062836.
- Coultas DB, Zumwalt RE, Black WC, et al. The epidemiology of interstitial lung diseases. Am J Respir Crit Care Med. 1994;150(4):967-972. doi: 10.1164/ajrccm.150.4.7921471.
- van Moorsel CHM, van Oosterhout MFM, Barlo NP, et al. Surfactant protein C mutations are the basis of a significant portion of adult familial pulmonary fibrosis in a dutch cohort. Am J Respir Crit Care Med. 2010;182(11):1419-1425. doi: 10.1164/rccm.200906-0953OC.
- Castriotta RJ, Eldadah BA, Foster WM, et al. Workshop on idiopathic pulmonary fibrosis in older adults. Chest. 2010;138(3):693-703. doi: 10.1378/chest.09-3006.
- Baumgartner KB, Samet JM, Stidley CA, et al. Cigarette smoking: a risk factor for idiopathic pulmonary fibrosis. Am I Respir Crit Care Med. 1997;155(1):242-248. doi: 10.1164/ajrccm.155.1.9001319.
- Steele MP, Speer MC, Loyd JL, et al. Clinical and pathologic features of familial interstitial pneumonia. Am J Respir Crit Care Med. 2005;172(9):1146-1152. doi: 10.1164/rccm.200408-1104OC.
- Taskar VS, Coultas DB. Is idiopathic pulmonary fibrosis an environmental disease? Proc Am Thorac Soc. 2006;3(4):293-298. doi: 10.1513/pats.200512-131TK.
- Baumgartner KB, Samet JM, Coultas DB, et al. Occupational and environmental risk factors for idiopathic pulmonary fibrosis: a multicenter case-control study. Collaborating Centers. Am J Epidemiol. 2000;152(4):307-315. doi: 10.1093/aje/152.4.307.
- Hubbard R, Cooper M, Antoniak M, et al. Risk of cryptogenic fibrosing alveolitis in metal workers. Lancet. 2000;355(9202):466-467. doi: 10.1016/S0140-6736(00)82017-6.
- Gustafson T, Dahlman-Höglund A, Nilsson K, et al. Occupational exposure and severe pulmonary fibrosis. Respir Med. 2007;101(10):2207-2212. doi: 10.1016/j.rmed.2007.02.027.
- Pinheiro GA, Antao VC, Wood JM, et al. Occupational risks for idiopathic pulmonary fibrosis mortality in the United States. Int J Occup Environ Health. 2008;14(2):117-123. doi: 10.1179/oeh.2008.14.2.117.
- Scott J, Johnston I, Britton J, et al. What causes cryptogenic fibrosing alveolitis? A case-control study of environmental exposure to dust. BMJ. 1990;301(6759):1015-7. doi: 10.1136/bmj.301.6759.1015.
- Olson AL, Swigris JJ. Idiopathic pulmonary fibrosis: diagnosis and epidemiology. Clin Chest Med. 2012;33(1):41-50. doi: 10.1016/j.ccm.2011.12.001.
- Hubbard R, Lewis S, Richards K, et al. Occupational exposure to metal or wood dust and aetiology of cryptogenic fibrosing alveolitis. Lancet. 1996;347(8997):284-289. doi: 10.1016/s0140-6736(96)90465-1.
- Mullen J, Hodgson MJ, DeGraff CA, et al. Case-control study of idiopathic pulmonary fibrosis and environmental exposures. J Occup Environ Med. 1998; 40(4):363-367. doi: 10.1097/00043764-199804000-00011.
- Miyake Y, Sasaki S, Yokoyama T, et al. Occupational and environmental factors and idiopathic pulmonary fibrosis in Japan. Ann Occup Hyg. 2005; 49(3):259-265. doi: 10.1093/annhyg/meh090.
- Tang Y-W, Johnson JE, Browning PJ, et al. Herpesvirus DNA is consistently detected in lungs of patients with idiopathic pulmonary fibrosis. J Clin Microbiol. 2003;41(6):2633-2640. doi: 10.1128/jcm.41.6.2633-2640.2003.
- Arase Y, Suzuki F, Suzuki Y, et al. Hepatitis C virus enhances incidence of idiopathic pulmonary fibrosis. World J Gastroenterol. 2008;14(38):5880-5886. doi: 10.3748/wjg.14.5880.
- Raghu G, Freudenberger TD, Yang S, et al. High prevalence of abnormal acid gastro-oesophageal reflux in idiopathic pulmonary fibrosis. Eur Respir J. 2006;27(1):136-142. doi: 10.1183/09031936.06.00037005.
- el-Serag HB, Sonnenberg A. Comorbid occurrence of laryngeal or pulmonary disease with esophagitis in United States military veterans. Gastroenteroiogy. 1997;113(3):755-760. doi: 10.1016/s0016-5085(97)70168-9.
- Tobin RW, Pope CE, Pellegrini CA, et al. Increased prevalence of gastroesophageal reflux in patients with idiopathic pulmonary fibrosis. Am J Respir Crit Care Med. 1998;158(6):1804-1808. doi: 10.1164/ajrccm.158.6.9804105.
- Lee JS, Collard HR, Raghu G, et al. Does chronic microaspiration cause idiopathic pulmonary fibrosis?. Am J Med. 2010;123(4):304-311. doi: 10.1016/j.amjmed.2009.07.033.
- Fernandez BA, Fox G, Bhatia R, et al. A Newfoundland cohort of familial and sporadic idiopathic pulmonary fibrosis patients: clinical and genetic features. Respir Res. 2012;13(1):64. doi: 10.1186/1465-9921-13-64.
- Garcia-Sancho C, Buendía-Roldán I, Fernández-Plata MR, et al. Familial pulmonary fibrosis is the strongest risk factor for idiopathic pulmonary fibrosis. Respir Med. 2011;105(12):1902-1907. doi: 10.1016/j.rmed.2011.08.022.
- Hodgson U, Laitinen T, Tukiainen P. Nationwide prevalence of sporadic and familial idiopathic pulmonary fibrosis: evidence of founder effect among multiplex families in Finland. Thorax. 2002;57(4):338-342. doi: 10.1136/thorax.57.4.338.
- Marshall RP, Puddicombe A, Cookson WA, et al. Adult familial cryptogenic fibrosing alveolitis in the United Kingdom. Thorax. 2000;55(2):143-146. doi: 10.1136/thorax.55.2.143.
- Loyd JE. Am J Respir Cell Mol Biol. 2003;29(3 Suppl):547-550.
- Fingerlin TE, Murphy E, Zhang W, et al. Genome-wide association study identifies multiple susceptibility loci for pulmonary fibrosis. Nat Genet. 2013;45(6):613-620. doi: 10.1038/ng.2609.
- van Manen MJG, Birring SS, Vancheri C, et al. Cough in idiopathic pulmonary fibrosis. By Respir Rev. 2016;25(141):278-286. doi: 10.1183/16000617.0090-2015.
- Bjoraker JA, Ryu JH, Edwin MK, et al. Prognostic significance of histopathologic subsets in idiopathic pulmonary fibrosis. Am J Respir Crit Care Med. 1998;157(1):199-203. doi: 10.1164/ajrccm.157.1.9704130.
- Cottin V, Cordier JF. Velcro crackles: the key for early diagnosis of idiopathic pulmonary fibrosis?. Eur Respir J. 2012;40(3):519-521. doi: 10.1183/09031936.00001612.
- Lederer M. http://www.pfdoc.org/2014/07/a-pulmonary-fibrosis-primer-for doctors.html. Accessed December 5,2017.
- Vij R, Strek ME. Diagnosis and treatment of connective tissue disease-associated interstitial lung disease. Chest. 2013,143(3):814-824. doi: 10.1378/chest.12-0741.
- Pellegrino R, Viegi G, Brusasco V, et al. Interpretative strategies for lung function tests. Eur Respir J. 2005;26(5):948-968. doi: 10.1183/09031936.05.00035205.
- ATS Patient Information Series: Idiopathic Pulmonary Fibrosis. Am J Respir Crit Care Med. 2011;183:P1-P2. Available at https://www.thoracic.org/patients/patient-resources/resources/idiopathic-pulmonary-fibrosis.pdf. Accessed January 4, 2017.
- Lee JS, McLaughlin S, Collard HR. Comprehensive care of the patient with idiopathic pulmonary fibrosis. Curr Opin Pulm Med. 2011;17(5):348-354. doi: 10.1097/MCP.0b013e328349721b.
- Raghu G, Richeldi L. Current approaches to the management of idiopathic pulmonary fibrosis. Respir Med. 2017;129:24-30. doi: 10.1016/j.rmed.2017.05.017.
- Walters PJ, Collard HR, Jones KD. Pathogenesis of idiopathic pulmonary fibrosis. Annu Rev Pathol. 2014;9:157-179. doi: 10.1146/annurev-pathol-012513-104706.
- Knipe RS, Tager AM, Liao JK. The Rho kinases: critical mediators of multiple profibrotic processes and rational targets for new therapies for pulmonary fibrosis. Pharmacol Rev. 2015;67(1):103-117. doi: 10.1124/pr.114.009381.
- Thomas AQ, Lane K, Phillips J, et al. Heterozygosity for a surfactant protein C gene mutation associated with usual interstitial pneumonitis and cellular nonspecific interstitial pneumonitis in one kindred. Am J Respir Crit Care Med. 2002;165(9):1322-1328. doi: 10.1164/rccm.200112-123OC.
- van Moorsel CHM, van Oosterhout MFM, Barlo NP, et al. Surfactant protein C mutations are the basis of a significant portion of adult familial pulmonary fibrosis in a dutch cohort. Am J Respir Crit Care Med. 2010;182(11):1419-1425. doi: 10.1164/rccm.200906-0953OC.
- Wang Y, Kuan PJ, Xing C, et al. Genetic defects in surfactant protein A2 are associated with pulmonary fibrosis and lung cancer. Am J Hum Genet. 2009;84(1):52-59. doi: 10.1016/j.ajhg.2008.11.010.
- Armanios MY, Chen JJ-L, Cogan JD, et al. Telomerase mutations in families with idiopathic pulmonary fibrosis. N Engl J Med. 2007;356(13):1317-1326. doi: 10.1056/NEJMoa066157.
- Tsakiri KD, Cronkhite JT, Kuan PJ, et al. Adult-onset pulmonary fibrosis caused by mutations in telomerase . Proc Natl Acad Sci USA. 2007;104(18):7552-7557. doi: 10.1073/pnas.0701009104.
- Noth I, Zhang Y, Ma S-F, et al. Genetic variants associated with idiopathic pulmonary fibrosis susceptibility and mortality: a genome-wide association study. Lancet Respir Med. 2013;1(4):309-317. doi: 10.1016/S2213-2600(13)70045-6.
- Seibold MA, Wise AL, Speer MC, et al. A common MUC5B promoter polymorphism and pulmonary fibrosis. N Engl J Med. 2011;364(16):1503-1512. doi: 10.1056/NEJMoa1013660.
- Hunninghake GM, Hatabu H, Okajima Y, et al. MUC5B promoter polymorphism and interstitial lung abnormalities . N Engl J Med. 2013;368(23):2192-2200. doi: 10.1056/NEJMoa1216076.
- Roy MG, Livraghi-Butrico A, Fletcher AA, et al. Muc5b is required for airway defence. Nature. 2014;505(7483):412-416. doi: 10.1038/nature12807.
- Kropski JA, Mitchell DB, Markin C, et al. A novel dyskerin (DKC1) mutation is associated with familial interstitial pneumonia. Chest. 2014;146(1):e1-e7. doi: 10.1378/chest.13-2224.
- Steele MP, Speer MC, Loyd JE, et al. Clinical and pathologic features of familial interstitial pneumonia. Am J Respir Crit Care Med. 2005;172(9):1146-1152. doi: 10.1164/rccm.200408-1104OC.
- Mulugeta S, Nguyen V, Russo SJ, et al. A surfactant protein C precursor protein BRICHOS domain mutation causes endoplasmic reticulum stress, proteasome dysfunction, and caspase 3 activation. Am J Respir Cell Mol Biol. 2005;32(6):521-530. doi: 10.1165/rcmb.2005-0009OC.
- Alder JK, Chen JJ-L, Lancaster L, et al. Short telomeres are a risk factor for idiopathic pulmonary fibrosis. Proc Natl Acad Sci USA. 2008;105(35):13051-13056. doi: 10.1073/pnas.0804280105.
- Cronkhite JT, Xing C, Raghu G, et al. Telomere shortening in familial and sporadic pulmonary fibrosis. Am J Respir Crit Care Med. 2008;178(7):729-737. doi: 10.1164/rccm.200804-550OC.
- O'Dwyer DN, Armstrong ME, Trujillo G, et al. The Toll-like receptor 3 L412F polymorphism and disease progression in idiopathic pulmonary fibrosis. Am J Respir Crit Care Med. 2013;188(12):1442-1450. doi: 10.1164/rccm.201304-0760OC.
- Rahman I, Skwarska E, Henry M, et al. Systemic and pulmonary oxidative stress in idiopathic pulmonary fibrosis. Free Radic Biol Med. 1999;27(1-2):60-68. doi: 10.1016/s0891-5849(99)00035-0.
- Waghray M, Cui Z, Horowitz JC, et al. Hydrogen peroxide is a diffusible paracrine signal for the induction of epithelial cell death by activated myofibroblasts. FASEB J. 2005;19(7):854-856. doi: 10.1096/fj.04-2882fje.
- Kliment CR, Englert JM, Gochuico BR, et al. Oxidative stress alters syndecan-1 distribution in lungs with pulmonary fibrosis. J Biol Chem. 2009;284(6):3537-354S. doi: 10.1074/jbc.M807001200.
- Bocchino M, Agnese S, Fagone E, et al. Reactive oxygen species are required for maintenance and differentiation of primary lung fibroblasts in idiopathic pulmonary fibrosis. PLoS One. 2010;5(11):e14003. doi: 10.1371/journal.pone.0014003.
- Hecker L, Vittal R, Jones T, et al. NADPH oxidase-4 mediates myofibroblast activation and fibrogenic responses to lung injury. Nat Med. 2009;15(9):1077-1081. doi: 10.1038/nm.2005.
- Sueblinvang V, Neujahr DC, Mills ST, et al. Predisposition for disrepair in the aged lung. Am J Med Sci. 2012;344(1):41-51. doi: 10.1097/MAJ.0b013e318234c132.
- Araya J, Kojima J, Takasaka N, et al. Insufficient autophagy in idiopathic pulmonary fibrosis. Am J Physiol Lung Cell Mol Physiol. 2013;304(1):L56-L69. doi: 10.1152/ajplung.00213.2012.
- Torres-Gonzalez E, Bueno M, Tanaka A, et al. Role of endoplasmic reticulum stress in age-related susceptibility to lung fibrosis. Am J Respir Cell Mol Biol. 2012;46(6):748-756. doi: 10.1165/rcmb.2011-0224OC.
- Heise RL, Stober V, Cheluvaraju C, et al. Mechanical stretch induces epithelial-mesenchymal transition in alveolar epithelia via hyaluronan activation of innate immunity. J Biol Chem. 2011;286(20):17435-17444. doi: 10.1074/jbc.M110.137273.
- Yamamoto H, Teramoto H, Uetani K, et al. Stretch induces a growth factor in alveolar cells via protein kinase. Respir Physiol. 2001;127(2-3):105-111. doi: 10.1016/s0034-5687(01)00244-4.
- Cabrera-Benitez NE, Parotto M, Post M, et al. Mechanical stress induces lung fibrosis by epithelial-mesenchymal transition. Crit Care Med. 2012;40(2):510-517. doi: 10.1097/CCM.0b013e31822f09d7.
- Selman M, King TE, Pardo A, et al. Idiopathic pulmonary fibrosis: prevailing and evolving hypotheses about its pathogenesis and implications for therapy. Ann Intern Med. 2001;134(2):136-151. doi: 10.7326/0003-4819-134-2-200101160-00015.
- Uhal BD, Joshi I, True AL, et al. Fibroblasts isolated after fibrotic lung injury induce apoptosis of alveolar epithelial cells in vitro. Am J Physiol. 1995;269(6 Pt 1):L819-L828. doi: 10.1152/ajplung.1995.269.6.L819.
- Tsujino K, Takeda Y, Arai T, et al. Tetraspanin CD151 protects against pulmonary fibrosis by maintaining epithelial integrity. Am J Respir Crit Care Med. 2012;186(2):170-180. doi: 10.1164/rccm.201201-0117OC.
- Williams MC. Alveolar type I cells: molecular phenotype and development. Annu Rev Physiol. 2003;65:669-695. doi: 10.1146/annurev.physiol.65.092101.142446.
- Castranova V, Rabovsky J, Tucker JH, et al. The alveolar type II epithelial cell: a multifunctional pneumocyte. Toxical Appl Pharmacol. 1988;93(3):472-483. doi: 10.1016/0041-008x(88)90051-8.
- Féréol S, Fodil R, Pelle G, et al. Cell mechanics of alveolar epithelial cells (AECs) and macrophages (AMs). Respir Physiol Neurabial. 2008;163(1-3):3-16. doi: 10.1016/j.resp.2008.04.018. Epub 2008 May 13.
- Fehrenbach H. Alveolar epithelial type II cell: defender of the alveolus revisited. Respir Res. 2001;2(1):33-46. doi: 10.1186/rr36.
- Desai TJ, Brownfield DG, Krasnow MA. Alveolar progenitor and stem cells in lung development, renewal and cancer. Nature. 2014;507(7491):190-194. doi: 10.1038/nature12930.
- Rosas IO, Ren P, Avila NA, et al. Early interstitial lung disease in familial pulmonary fibrosis. Am J Respir Crit Care Med. 2007; 176(7):698-705. doi: 10.1164/rccm.200702-254OC.
- King TE, Pardo A, Selman M. Idiopathic pulmonary fibrosis. Lancet. 2011;378(9807):1949-1961. doi: 10.1016/S0140-6736(11)60052-4.
- Günther A, Mosavi P, Ruppert C, et al. Enhanced tissue factor pathway activity and fibrin turnover in the alveolar compartment of patients with interstitial lung disease. Thromb Hoemost 2000;83(6):853-860.
- Antoniades HN, Bravo MA, Avila RE, et al. Platelet-derived growth factor in idiopathic pulmonary fibrosis. J Clin Invest. 1990;86(4):1055-1064. doi: 10.1172/JCI114808.
- Scotton CJ, Krupiczojc MA, Königshoff M, et al. Increased local expression of coagulation factor X contributes to the fibrotic response in human and murine lung injury. J Clin Invest. 2009:119(9):2550-2563. doi: 10.1172/JCI33288.
- Mercer PF, Johns RH, Scotton CJ, et al. Pulmonary epithelium is a prominent source of proteinase-activated receptor-1-inducible CCL2 in pulmonary fibrosis. Am J Respir Crit Care Med. 2009:179(5):414-425. doi: 10.1164/rccm.200712-1827OC.
- Sime PJ, Xing Z, Graham FL, et al. Adenovector-mediated gene transfer of active transforming growth factor-beta1 induces prolonged severe fibrosis in rat lung. J Clin Invest. 1997;100(4):768-776. doi: 10.1172/JCI119590.
- Xu YD, Hua J, Mui A, et al. Release of biologically active TGF-beta1 by alveolar epithelial cells results in pulmonary fibrosis. Am J Physiol Lung Cell Mol Physiol. 2003;285(3):L527-L539. doi: 10.1152/ajplung.00298.2002.
- Lee CG, Cho SJ, Kang MJ, et al. Early growth response gene 1-mediated apoptosis is essential for transforming growth factor beta1-induced pulmonary fibrosis. J Exp Med. 2004;200(3):377-389. doi: 10.1084/jem.20040104.
- Khalil N, Parekh TV, O’Connor R, et al. Regulation of the effects of TGF-beta 1 by activation of latent TGF-beta 1 and differential expression of TGF-beta receptors (T beta R-I and T beta R-II) in idiopathic pulmonary fibrosis. Thorax. 2001;56(12):907-915. doi: 10.1136/thorax.56.12.907.
- Boström H, Willetts K, Pekny M, et al. PDGF-A signaling is a critical event in lung alveolar myofibroblast development and alveogenesis. Cell. 1996;85(6):863-873. doi: 10.1016/s0092-8674(00)81270-2.
- Chilosi M, Poletti V, Zamò A, et al. Aberrant Wnt/beta-catenin pathway activation in idiopathic pulmonary fibrosis. Am J Pathol. 2003;162(5):1495-1502. doi: 10.1016/s0002-9440(10)64282-4.
- Königshoff M, Balsara N, Pfaff E-M, et al. Functional Wnt signaling is increased in idiopathic pulmonary fibrosis. PLoS One. 2008;3(5):e2142. doi: 10.1371/journal.pone.0002142.
- Tanjore H, Degryse AL, Crossno PF, et al. β-catenin in the alveolar epithelium protects from lung fibrosis after intratracheal bleomycin. Am J Respir Crit Care Med. 2013;187(6):630-639. doi: 10.1164/rccm.201205-0972OC.
- Bolaños AL, Milla CM, Lira CS, et al. Role of Sonic Hedgehog in idiopathic pulmonary fibrosis. Am J Physiol Lung Cell Mol Physiol. 2012;303(11):L978-L990. doi: 10.1152/ajplung.00184.2012.
- Pandit KV, Corcoran D, Yousef H, et al. Inhibition and role of let-7d in idiopathic pulmonary fibrosis. Am J Respir Crit Care Med. 2010;182(2):220-229. doi: 10.1164/rccm.200911-1698OC.
- Milosevic J, Pandit K, Magister M, et al. Profibrotic role of miR-154 in pulmonary fibrosis. Am J Respir Cell Mol Biol. 2012;47(6):879-887. doi: 10.1165/rcmb.2011-0377OC.
- Hecker L, Vittal R, Jones T, et al. NADPH oxidase-4 mediates myofibroblast activation and fibrogenic responses to lung injury. Nat Med. 2009;15(9):1077-1081. doi: 10.1038/nm.2005.
- Xu SW, Howat SL, Renzoni EA, et al. Endothelin-1 induces expression of matrix-associated genes in lung fibroblasts through MEK/ERK. J Biol Chem. 2004;279(22):23098-23103. doi: 10.1074/jbc.M311430200.
- Bogatkevich GS, Ludwicka-Bradley A, Singleton CB, et al. Proteomic analysis of CTGF-activated lung fibroblasts: identification of IQGAP1 as a key player in lung fibroblast migration. Am J Physiol Lung Cell Mol Physiol. 2008;295(4):L603-L611. doi: 10.1152/ajplung.00530.2007.
- Martinet Y, Bitterman PB, Mornex JF, et al. Activated human monocytes express the c-sis proto-oncogene and release a mediator showing PDGF-like activity. Nature. 1986;319(6049):158-160. doi: 10.1038/319158a0.
- Phillips RJ, Burdick MD, Hong K, et al. Circulating fibrocytes traffic to the lungs in response to CXCL12 and mediate fibrosis. J Clin Invest. 2004;114(3):438-446. doi: 10.1172/JCI20997.
- Tager AM, LaCamera P, Shea BS, et al. The lysophosphatidic acid receptor LPA1 links pulmonary fibrosis to lung injury by mediating fibroblast recruitment and vascular leak. Nat Med. 2008;14(1):45-54. doi: 10.1038/nm1685.
- Andersson-Sjöland A, García de Alba C, et al. Fibrocytes are a potential source of lung fibroblasts in idiopathic pulmonary fibrosis. Int J Biochem Cell Biol. 2008;40(10):2129-2140. doi: 10.1016/j.biocel.2008.02.012.
- Zuo F, Kaminski M, Eugui E, et al. Gene expression analysis reveals matrilysin as a key regulator of pulmonary fibrosis in mice and humans. Proc Natl Acad Sci USA. 2002;99(9):6292-6297. doi: 10.1073/pnas.092134099.
- Pardo A, Selman A. Role of matrix metaloproteases in idiopathic pulmonary fibrosis. Fibrogenesis & Tissue Repair. 2012;5(Suppl 1):59. doi: 10.1186/1755-1536-5-S1-S9.
- Hayashi T, Stetler-Stevenson WG, Fleming MV, et al. Immunohistochemical study of metalloproteinases and their tissue inhibitors in the lungs of patients with diffuse alveolar damage and idiopathic pulmonary fibrosis. Am J Pathol. 1996;149(4):1241-1256.
- Swiderski RE, Dencoff JE, Floerchinger CS, et al. Differential expression of extracellular matrix remodeling genes in a murine model of bleomycin-induced pulmonary fibrosis. Am J Pathol. 1998;152(3):821-828.
- Ramos C, Montaño M, García-Alvarez J, et al. Fibroblasts from idiopathic pulmonary fibrosis and normal lungs differ in growth rate, apoptosis, and tissue inhibitor of metalloproteinases expression. Am J Respir Cell Mal Biol. 2001;24(5):591-598. doi: 10.1165/ajrcmb.24.5.4333.
- Horowitz JC, Lee DY, Waghray M, et al. Activation of the pro-survival phosphatidylinositol 3-kinase/AKT pathway by transforming growth factor-beta1 in mesenchymal cells is mediated by p38 MAPK-dependent induction of an autocrine growth factor. J Biol Chem. 2004;279(2):1359-1367. doi: 10.1074/jbc.M306248200.
- Booth AJ, Hadley R, Cornett AM, et al. Acellular normal and fibrotic human lung matrices as a culture system for in vitro investigation. Am J Respir Crit Care Med. 2012;186(9):866-876. doi: 10.1164/rccm.201204-0754OC.
- Henderson NC, Arnold TD, Katamura Y, et al. Targeting of αv integrin identifies a core molecular pathway that regulates fibrosis in several organs. Nat Med. 2013:19(12):1617-1624. doi: 10.1038/nm.3282.
- Sanders W, Ambalavanan N, Halloran B, et al. Altered DNA methylation profile in idiopathic pulmonary fibrosis. Am J Respir Crit Care Med. 2012;186(6):525-535. doi: 10.1164/rccm.201201-0077OC.
- Rabinovich El, Kapetanaki MG, Steinfeld I, et al. Global methylation patterns in idiopathic pulmonary fibrosis. PLoS One. 2012;7(4):e33770. doi: 10.1371/journal.pone.0033770.
- Nance T, Smith KS, Anaya V, et al. Transcriptome analysis reveals differential splicing events in IPF lung tissue. PLoS One. 2014;9(3):e92111. doi: 10.1371/journal.pone.0092111.
- Liu G, Friggeri A, Yang Y, et al. miR-21 mediates fibrogenic activation of pulmonary fibroblasts and lung fibrosis. J Exp Med. 2010;207(8):1589-1597. doi: 10.1084/jem.20100035.
- Lino Cardenas CL, Henaoui IS, Courcot E, et al. miR-199a-5p Is upregulated during fibrogenic response to tissue injury and mediates TGFbeta-induced lung fibroblast activation by targeting caveolin-1. PLoS Genet. 2013;9(2):e1003291. doi: 10.1371/journal.pgen.1003291.
- Kropski JA, Lawson WE, Young LR, et al. Genetic studies provide clues on the pathogenesis of idiopathic pulmonary fibrosis. Dis Model Mech. 2013;6(1):9-17. doi: 10.1242/dmm.010736.
- Borie R, Crestani B, Dieude P, et al. The MUC5B variant is associated with idiopathic pulmonary fibrosis but not with systemic sclerosis interstitial lung disease in the European Caucasian population. PLoS One. 2013;8(8):e70621. doi: 10.1371/journal.pone.0070621.
- Stock CJ, Sato H, Fonseca C, et al. Mucin 5B promoter polymorphism is associated with idiopathic pulmonary fibrosis but not with development of lung fibrosis in systemic sclerosis or sarcoidosis. Thorax. 2013;68(5):436-441. doi: 10.1136/thoraxjnl-2012-201786.
- Raghu G, Brown K. Interstitial lung disease: clinical evaluation and keys to an accurate diagnosis. Clin Chest Med. 2004;25(3):409-419, v. doi: 10.1016/j.ccm.2004.05.007.
- Meyer KC. Diagnosis and management of interstitial lung disease. Trans Respir Med. 2014:2:1-13. doi: 10.1186/2213-0802-2-4.
- Johannson KA, Balmes JR, Collard HR. Air pollution exposure: a novel environmental risk factor for interstitial lung disease?. Chest. 2015; 147(4): 1161-1167. doi: 10.1378/chest.14-1299.
- Kubo H, Nakayama K, Yanai M, et al. Anticoagulant therapy for idiopathic pulmonary fibrosis. Chest. 2005;128(3):1475-1482. doi: 10.1378/chest.128.3.1475.
- Daniels CE, Yi ES, Ryu JH. Autopsy findings in 42 consecutive patients with idiopathic pulmonary fibrosis. Eur Respir J. 2008;32:170-174. doi: 10.1183/09031936.00176307.
- King TE, Schwarz MI, Brown K, et al. Idiopathic pulmonary fibrosis: relationship between histopathologic features and mortality. Am J Respir Crit Care Med. 2001;164(6):1025-1032. doi: 10.1164/ajrccm.164.6.2001056.
- Jegal Y, Kim DS, Shim TS, et al. Physiology is a stronger predictor of survival than pathology in fibrotic interstitial pneumonia. Am J Respir Crit Care Med. 2005;171(6):639-644. doi: 10.1164/rccm.200403-331OC.
- Flaherty KR, King TE, Raghu G, et al. Idiopathic interstitial pneumonia: what is the effect of a multidisciplinary approach to diagnosis?. Am J Respir Crit Care Med. 2004;170(8):904-910. doi: 10.1164/rccm.200402-147OC.
- Flaherty KR, Toews GB, Travis WD, et al. Clinical significance of histological classification of idiopathic interstitial pneumonia. Eur Respir J. 2002;19(2):275-283. doi: 10.1183/09031936.02.00182002.
- Nicholson AG, Colby TV, du Bois RM, et al. The prognostic significance of the histologic pattern of interstitial pneumonia in patients presenting with the clinical entity of cryptogenic fibrosing alveolitis. Am J Respir Crit Care Med. 2000;162(6):2213-2217. doi: 10.1164/ajrccm.162.6.2003049.
- Rudd RM, Prescott RJ, Chalmers JC, et al. British Thoracic Society Study on cryptogenic fibrosing alveolitis: Response to treatment and survival. Thorax. 2007;62(1):62-66. doi: 10.1136/thx.2005.045591.
- Nagai S, Kitaichi M, Hamada K, et al. Hospital-based historical cohort study of 234 histologically proven Japanese patients with IPF. Sarcoidosis Vasc Difluse Lung Dis. 1999;16(2):209-214.
- American Cancer Society. Cancer Facts & Figures 2017.
- Benza RL, Miller DP, Barst RJ, et al. An evaluation of long-term survival from time of diagnosis in pulmonary arterial hypertension from the REVEAL Registry. Chest. 2012;142(2):448-456. doi: 10.1378/chest.11-1460.
- Olson AL, Swigris JJ, Lezotte DC, et al. Mortality from pulmonary fibrosis increased in the United States from 1992 to 2003. Am J Respir Crit Care Med. 2007; 176(3):277-284. doi: 10.1164/rccm.200701-044OC.
- Camelo A, Dunmore R, Sleeman MA, et al. The epithelium in idiopathic pulmonary fibrosis: breaking the barrier. Front Pharmacol. 2014:4:173. doi: 10.3389/fphar.2013.00173.
- Olson A, KK Brown, Swigris JJ. Understanding and optimizing health-related quality of life and physical functional capacity in idiopathic pulmonary fibrosis. Patient Related Outcome Measures. 2016;7:29-35. doi: 10.2147/PROM.S74857.
- Cordier JF, Cottin V. Neglected evidence in idiopathic pulmonary fibrosis: from history to earlier diagnosis. Eur Respir J. 2013;42(4):916-923. doi: 10.1183/09031936.00027913.
- Collard HR, Tino G, Noble PW, et al. Patient experiences with pulmonary fibrosis. Respir Med. 2007;101(6):1350-1354. doi: 10.1016/j.rmed.2006.10.002.
- Lamas DJ, Kawut SM, Bagiella E, et al. Delayed access and survival in idiopathic pulmonary fibrosis: a cohort study. Am J Respir Crit Care Med. 2011;184(7):842-847. doi: 10.1164/rccm.201104-0668OC.
- Wanger J, Clausen JL, Coates A, et al. Standardisation of the measurement of lung volumes. Eur Respir J. 2005;26(3):511-522. doi: 10.1183/09031936.05.00035005.
- Pulmonary Fibrosis Foundation Patient Information Guide. Available at http://www.pulmonaryfibrosis.org/docs/default-source/patient-information-guides/2017-pff-patlent-information-guide.pdf?sfvrsn=0. Accessed July 12, 2017.
HRCT
All patients with suspected IPF should undergo high-resolution computed tomography (HRCT) evaluation.1-3 HRCT allows a detailed examination of the lung parenchyma.2
An HRCT for evaluating ILD should follow guidelines for improving diagnostic results.3
- Non-contrast
- Thin collimation (≤/2 cm), short rotation time, highest pitch for motion-free scan
- Number of acquisitions in proper position (3):
- Supine, sustained end-inspiration
- Supine, entire thorax at sustained end-expiration after prolonged expiration (volumetric or sequential acquisition)
- Volumetric or sequential image (can be limited to lower lobes) to clear position-induced changes
- Scan for new ground-glass changes, acute pulmonary embolism via CT angiography with/without non contrast HRCT
UIP PATTERN
There are 4 categories of usual interstitial pneumonia (UIP) pattern based on HRCT findings.
The 2018 ATS/ERS/JRS/ALAT guidelines define 4 categories for diagnosing UIP based on the presence or absence of specific HRCT features.3
- UIP pattern
- Probable UlP pattern
- Indeterminate UlP pattern
- Alternative diagnosis
The HRCT criteria were devised to convey a level of confidence for a radiologic diagnosis of UIP in a patient with clinical features that suggest a diagnosis of IPF.4
HRCT in IPF
The distribution and predominance of specific features on HRCT scans are key factors in determining UIP patterns.5
UIP: Criteria
HRCT criteria for usual interstitial pneumonia. The features necessary for a UIP diagnosis are:3,6
- Subpleural and basal predominance (distribution is often heterogeneous)
AND - Honeycombing with or without peripheral traction bronchiectasis/bronchiolectasis
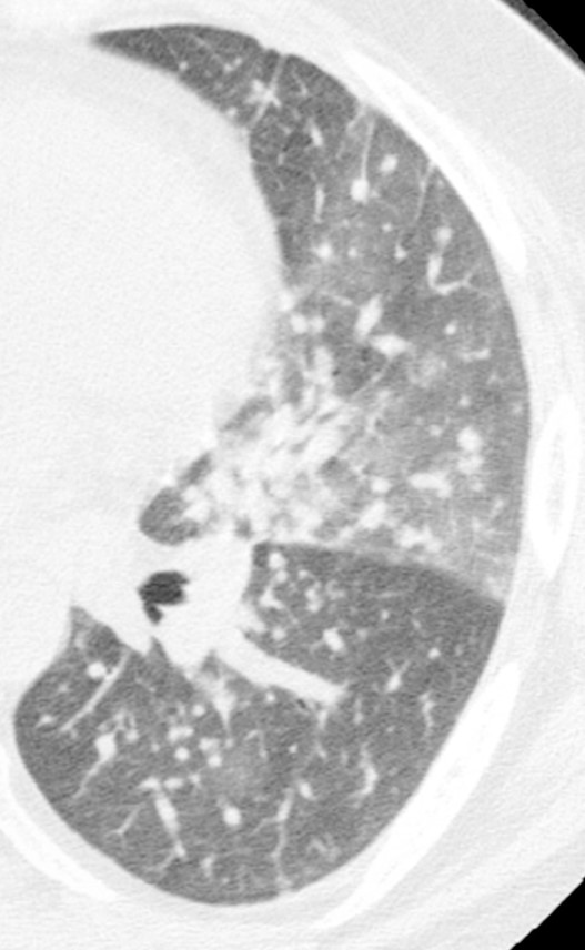
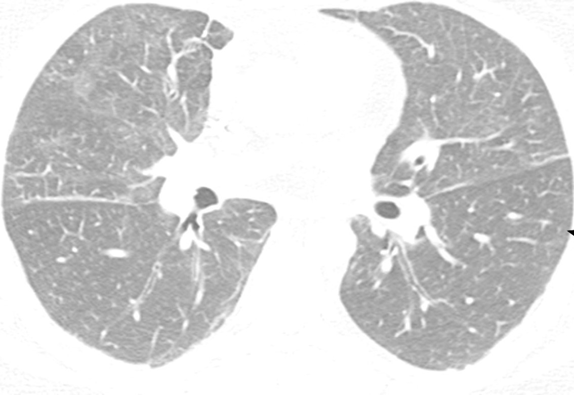
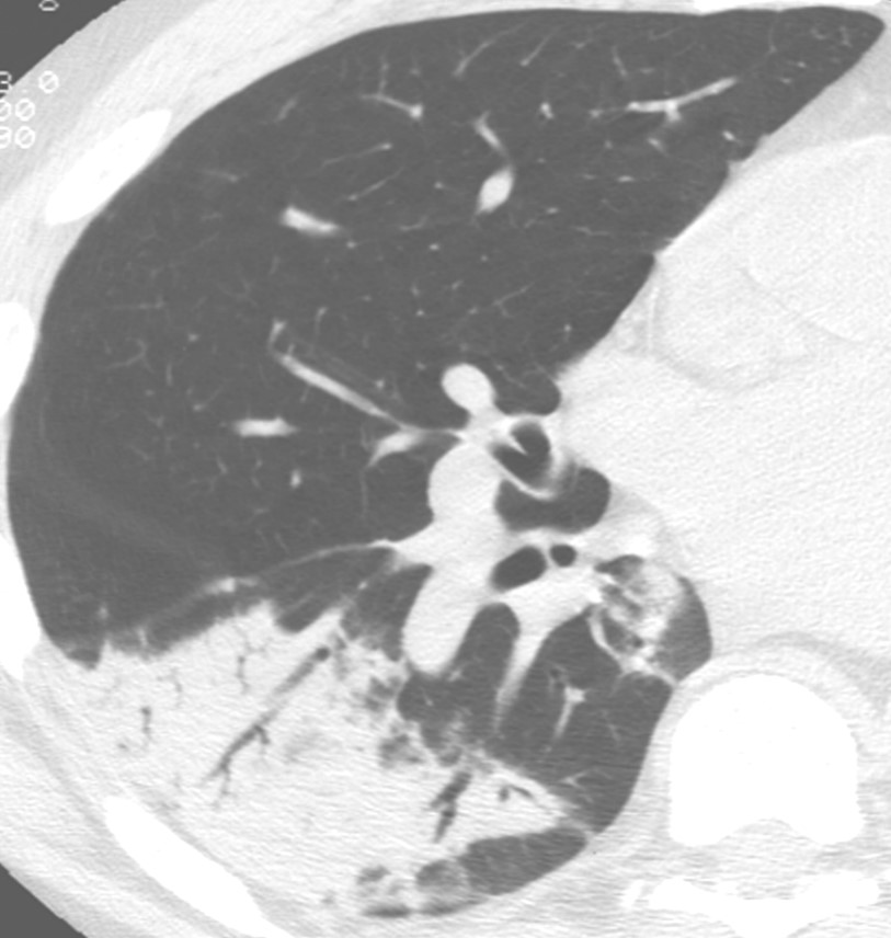
UIP: Example
UIP shows:3,6
- Subpleural and basal predominant distribution
- Honeycombing
- Traction bronchiectasis
The distribution of UIP is characteristically basal and peripheral, though often patchy.1,3,5,6
Image courtesy of and used with permission from Robert Suh, MD.
Honeycombing is critical for an HRCT diagnosis of UIP without surgical biopsy.1,3,5-7
In cases of UIP, ground-glass opacities (GGO) may be present but should be less extensive than the reticulation.1,3,6 Mediastinal lymphadenopathy may be present.3
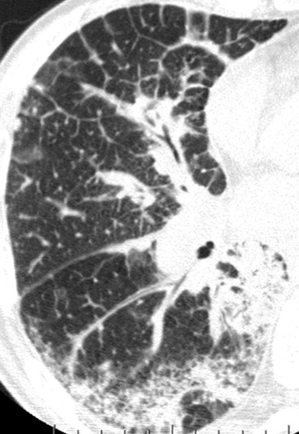
PROBABLE UIP
Criteria
Criteria for a diagnosis of probable UIP:3,6
- Subpleural and basal predominance (often heterogeneous distribution)
AND - Reticular pattern with peripheral traction bronchiectasis/bronchiolectasis
AND - May have mild ground-glass opacities
Example
Lacking honeycombing, probable UIP exhibits bronchiectasis and may have histopathologic signs of UIP upon biopsy. Surgical biopsy therefore may aid in IPF diagnosis.3
Note the lack of honeycombing in this image.
HRCT image of possible usual interstitial pneumonia. Reprinted from Fishman‘s Pulmonary Diseases and Disorders. 4th edition 2007. Meltzer EB and Noble PW: Chapter 70, Idiopathic Pulmonary Fibrosis.10 Used with permission from McGraw-Hill Companies. Inc. Copyright © 2007 McGraw-Hill Companies. Inc.
Surgical lung biopsy is not always possible. A surgical biopsy may be deferred due to underlying comorbidities, poor pulmonary function, or patient preference.1,3
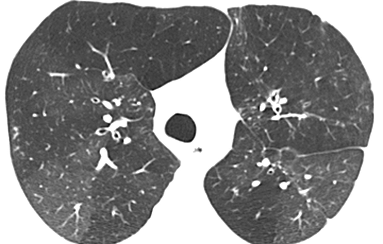
INDETERMINATE FOR UIP
Criteria
Criteria for a diagnosis of indeterminate for UIP:3,6
- Subpleural and basal predominance
AND - Subtle reticulation, may have ground-glass opacity (mild) or distortion (“early UIP pattern”)
AND - Distribution or features of fibrosis not consistent with specific etiology (“truly indeterminate”)
Example
When characteristics suggestive of fibrosis are visible on HRCT scans but do not meet the criteria of UIP or probable UIP, the images should be classified as indeterminate for UIP.5 UIP pattern may be found on histological testing of patients with HRCT patterns indeterminate for UIP.3,6
Image courtesy of and used with permission from Robert Suh, MD.
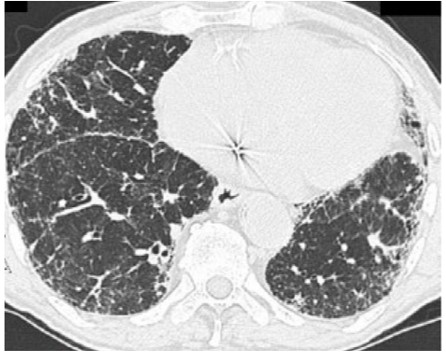
ALTERNATIVE DIAGNOSIS
The presence of any of these features should lead to the consideration of an alternative diagnosis.3,6
CT Features:
- Mosaic attenuation
- Predominant GGO
- Consolidation
- Cysts, nodules (profuse or centrilobular)
Predominant Distribution:
- Peribronchovascular
- Perilymphatic
- Upper or mid-lung
Other:
- Pleural plaques (consider asbestosis)
- Extensive lymph node enlargement
- Distal clavicular erosions (consider rheumatoid arthritis)
- Dilated esophagus, pleural effusions, pleural thickening (consider connective tissue disease)
Upper-lung predominance
Image courtesy of and used with permission from David A Lynch, MD
Peribronchovascular predominance
Image courtesy of and used with permission from David A Lynch, MD
Extensive ground-glass abnormalities
Image courtesy of and used with permission from David A Lynch, MD
Profuse perilymphatic micronodules
Image courtesy of and used with permission from David A Lynch, MD
Discrete cysts
Image courtesy of and used with permission from Robert Suh, MD
Diffuse mosaic attenuation/air trapping
Image courtesy of and used with permission from David A Lynch, MD
Consolidation in bronchopulmonary segment(s)/lobe(s)
Image courtesy of and used with permission from David A Lynch, MD
HRCT is not always enough to diagnose IPF
Patients who are clinically suspected of having IPF with HRCT features of either probable UIP, indeterminate UIP, or alternative diagnosis should undergo additional diagnostic evaluation.3
REFERENCES
- Raghu G, Collard HR, Jim J Egan, et al. An official ATS/ERS/JRS/ALAT statement: idiopathic pulmonary fibrosis: evidence-based guidelines for diagnosis and management. Am J Respir Crit Care Med. 2011;183(6):788-824. doi: 10.1164/rccm.2009-040GL.
- Meltzer EB, Noble PW. Idiopathic pulmonary fibrosis. Orphanet J Rare Dis. 2008;3:8. doi: 10.1186/1750-1172-3-8.
- Raghu G, Remy-Jardin M, Myers JL, et al. Diagnosis of Idiopathic Pulmonary Fibrosis. An Official ATS/ERS/JRS/ALAT Clinical Practice Guideline. Am J Respir Crit Care Med. 2018;198(5):e44-e68. doi: 10.1164/rccm.201807-1255ST.
- Larsen BT, Colby TV. Update for pathologists on idiopathic interstitial pneumonias. Arch Pathol Lab Med. 2012;136(10):1234-1241. doi: 10.5858/arpa.2012-0225-RA.
- Schmidt SL, Sundaram B, Flaherty KR. Respirology. 2009;14(7):934-939. doi: 10.1111/j.1440-1843.2009.01626.x.
- Lynch DA, Sverzellati N, Travis WD, et al. Diagnostic criteria for idiopathic pulmonary fibrosis: a Fleischner Society White Paper. Lancet. 2018;6(2):138-153. doi: 10.1016/S2213-2600(17)30433-2.
- Hunninghake GW, Lynch DA, Galvin JR, et al. Radiologic findings are strongly associated with a pathologic diagnosis of usual interstitial pneumonia. Chest. 2003;124(4):1215-1223. doi: 10.1378/chest.124.4.1215.
Only a subset of possible IPF cases are candidates for a lung biopsy.
Patients whose HRCT results are non-diagnostic for IPF may undergo a surgical lung biopsy to reach a definite IPF diagnosis.5,6,17 Surgical lung biopsy is not indicated in patients at high risk for intra-, peri-, or postoperative complications (e.g., severe hypoxemia at rest and/or severe pulmonary hypertension with a diffusion capacity <25% after correction for hematocrit). A multidisciplinary discussion is needed before a diagnosis of IPF is made.
The decision to pursue lung biopsy must take into account underlying comorbidities, pulmonary function, and patient preference.5,6
Choosing the right biopsy method is crucial for making an accurate diagnosis.
A biopsy should take samples from multiple lobes, preferably via video-assisted thoracoscopic approaches to obtain adequate tissue for histologic diagnosis.5,6,17
Transbronchial biopsies via fiberoptic bronchoscopy are not recommended in diagnosing IPF due to low yield.6,10,17
Recommendations differ based on HRCT evidence of UIP or the potential for something other than UIP:5
- Surgical or transbronchial lung biopsies are not recommended for patients with a pattern of UIP on HRCT5,6,17
- The 2018 ATS/ERS/JRS/ALAT guidelines recommend surgical biopsy for patients with an HRCT pattern of probable UIP, indeterminate UIP, or alternative diagnosis5
- However, the 2018 Fleischner Society White Paper suggests surgical lung biopsy is only needed in cases where HRCT patterns are indeterminate for UIP or suggest an alternative diagnosis17
THERE ARE 4 CATEGORIES OF UIP PATTERN IN HISTOPATHOLOGY.
The histopathologic features of UIP fall into 1 of 4 categories:5,17
- UIP
- Probable UIP
- Indeterminate for UIP
- Alternative Diagnosis
UIP PATTERN5,17
Evidence of dense fibrosis with architectural distortion (i.e., honeycombing and/or destructive scarring) in a predominantly subpleural/paraseptal distribution
AND
Predominant subpleural and/or paraseptal distribution of fibrosis
AND
Presence of patchy involvement of lung parenchyma by fibrosis
AND
Presence of fibroblast foci
AND
Absence of features to suggest an alternate diagnosis (see Alternate Diagnosis section)
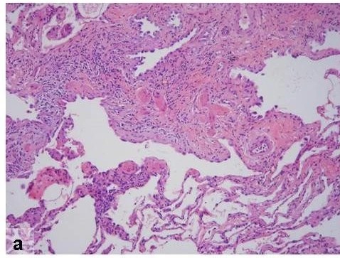
The chief diagnostic criterion of UIP is patchy dense fibrosis at low magnification.5
UIP shows alternating areas of patchy pulmonary parenchymal fibrosis with scarring and honeycomb changes and less affected or normal parenchyma.57,58
Histopathologic features of usual interstitial pneumonia. Reprinted from Fishman's Pulmonary Diseases and Disorders, 4th edition 2007. Meltzer, EB and Noble, PW: Chapter 70, Idiopathic Pulmonary Fibrosis. Used with permission from McGraw-Hill Companies, Inc. Copyright © 2007 McGraw-Hill Companies, Inc.10
Histopathologic changes in IPF often affect the subpleural and paraseptal parenchyma most severely.5,17
The involved areas of the lung show complete distortion of normal architecture, with sheets of dense collagen replacing normal lung tissue and occasional microscopic honeycomb cysts.10
Histopathologic features of usual interstitial pneumonia. Reprinted from Fishman's Pulmonary Diseases and Disorders, 4th edition 2007. Meltzer, EB and Noble, PW: Chapter 70, Idiopathic Pulmonary Fibrosis. Used with permission from McGraw-Hill Companies, Inc. Copyright © 2007 McGraw—Hill Companies, Inc.10
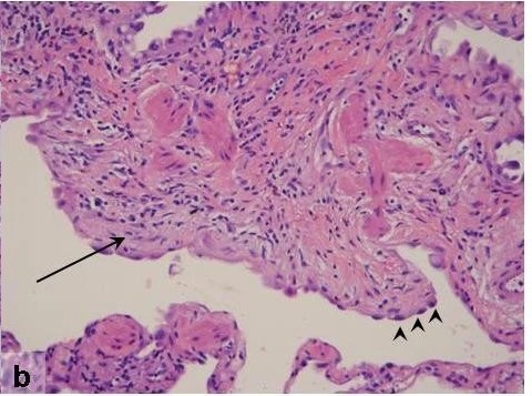
At high magnification, the detailed features of definite UIP are visible.
Areas of honeycomb change are composed of cystic fibrotic airspaces that are frequently lined by bronchiolar epithelium and filled with mucus and inflammatory cells.58
Histopathologic features of usual interstitial pneumonia. Reprinted from Fishman's Pulmonary Diseases and Disorders, 4th edition 2007. Meltzer, EB and Noble, PW: Chapter 70, Idiopathic Pulmonary Fibrosis. Used with permission from McGraw-Hill Companies, Inc. Copyright © 2007 McGraw-Hill Companies, Inc.10
As the region of scarred lung tissue encroaches upon the areas of normal lung tissue, the advancing edge of the young fibrosis contains specialized structures known as fibroblast foci.10,57,58
Fibroblastic foci may reflect a reticulum of scar tissue.
Fibrosis may occur as a reticulum of scar tissue that extends from the pleura to the central portions of lung rather than existing as discrete areas of fibrosis.59
These findings, observed together, are diagnostic of UIP, assuming atypical findings are absent.5,6
Histopathologic features of usual interstitial pneumonia. Reprinted from Fishman's Pulmonary Diseases and Disorders, 4th edition 2007. Meltzer, EB and Noble, PW: Chapter 70, Idiopathic Pulmonary Fibrosis. Used with permission from McGraw—Hill Companies, Inc. Copyright © 2007 McGraw—Hill Companies, Inc.
UIP is not limited to IPF.
The UIP pattern can be found in several other diseases, including:10,17
- Connective tissue diseases
- Asbestosis
- Chronic hypersensitivity pneumonitis
- Hermansky-Pudlak syndrome
- Drug toxicities
Clinical history is essential for distinguishing IPF from other disorders that also produce a UIP pattern on biopsy.6
UIP may occur simultaneously with patterns of other lung diseases.
- It is important to recognize that UIP may be present along with patterns consistent with other lung diseases, such as emphysema60,61
- In these cases, changes characteristic of each disease are expected to be present61
PROBABLE UIP PATTERN
The following features are suggestive of a probable UIP pattern:5,17
Honeycomb Changes
OR
Some features of UIP, but precludes a definitive diagnosis of UIP/IPF
AND
Absence of features suggestive of an alternative diagnosis
INDETERMINATE UIP PATTERN
An indeterminate UIP pattern includes all of the following criteria:5,17
Fibrosis with or without architectural distortion with features supporting a pattern other than UIP or UIP secondary to another causea
AND
Features of UIP along with features suggesting an alternative diagnosisb
ALTERNATIVE DIAGNOSIS
Presence of the following features is considered indicative of an alternative diagnosis and should lead to the consideration of other diseases.5,17
- All biopsies have features of other histologic patterns of IIPs (absence of fibroblast foci, loose fibrosis)
- Histologic findings indicative of other diseases – sarcoidosis, Langerhans cell histiocytosis, hypersensitivity pneumonitis, lymphangioleiomyomatosis (LAM)
SHOULD ALL PATIENTS WITH IPF BE TREATED WITH ANTIACID MEDICATIONS?
In 2011, the American Thoracic Society, the European Respiratory Society, the Japanese Respiratory Society, and the Latin American Thoracic Association published evidence-based clinical practice guidelines for the diagnosis and treatment of IPF.1
Recently, these guidelines were updated based on new evidence reported since publication of the prior guidelines, and treatment recommendations were updated accordingly.2 Addressed specifically was the question, “Should patients with IPF be treated with antiacid medications?”
Gastroesophageal reflux (GER) is very common among patients with IPF, occurring in over 90% of patients, even in the absence of classical reflux symptoms.3 GER is a risk factor for aspiration and microaspiration, which could lead to pneumonitis.2
It is postulated that this could cause or worsen IPF. Accordingly, the risk for microaspiration-associated lung injury or damage may be decreased with the use of antiacid treatments, such as proton pump inhibitors (PPIs) or histamine-2 blocker receptor antagonists (H2RAs).
WHAT THEY DID
Pertinent literature was obtained through a search strategy using medical subject heading keywords and text words.2 The Ovid platform was used to search MEDLINE, EMBASE, Cochrane Registry of Controlled Trials, Health Technology Assessment, and the Database of Abstracts of Reviews of Affects for May 2010 through May 2014.
Two reviewers screened titles and abstracts to identify articles for full review and evaluated the full text of articles deemed potentially relevant by either reviewer. Results from identified studies with the same treatment agent were pooled, and meta-analyses were reviewed.
WHAT THEY FOUND
A survival benefit for patients receiving antiacid medication (hazard ratio [HR], 0.47; 95% CI, 0.24-0.93; adjusted analysis) was suggested by 1 retrospective analysis of longitudinal cohorts.4
A separate aggregate analysis of 3 randomized, controlled trials of different pharmacologic therapies in patients with IPF examined all the patients who were randomized to the placebo groups. Researchers compared 124 patients receiving a PPI or H2RA at baseline (91% PPI, 9% H2RA) to 118 patients not receiving antiacid treatment and not receiving other study medications.
For those receiving antiacid treatment at baseline, a significantly smaller decrease in forced vital capacity during the study period was found (mean difference, 0.07 L; 95% CI, 0-0.14; P=.05).5 Of note, in patients who received antiacid treatment, there were no episodes of adjudicated acute exacerbations compared with placebo. However, there were no differences in all-cause mortality or all-cause hospitalization.
WHAT IT MEANS
Based on these data, the guidelines suggest that “clinicians use regular antiacid treatment for patients with IPF (conditional recommendation, very low confidence in estimates of effect).”2 In making this recommendation, the guidelines committee placed a higher value on possible improved lung function and survival and the low cost of therapy, and a lower value on the potential increased risk for pneumonia with antiacid therapy.
Abstract
REFERENCES
- Raghu G, Collard HR, Egan JJ, et al. An official ATS/ERS/JRS/ALAT statement: idiopathic pulmonary fibrosis: evidence-based guidelines for diagnosis and management. Am J Respir Crit Care Med. 2011;183(6):788-824. doi: 10.1164/rccm.2009-040GL.
- Raghu G, Rochwerg B, Zhang Y, et al. An Official ATS/ERS/JRS/ALAT clinical practice guideline: treatment of idiopathic pulmonary fibrosis. An update of the 2011 clinical practice guideline. Am J Respir Crit Care Med. 2015;192(2):e3-e19. doi: 10.1164/rccm.201506-1063ST.
- Tobin RW, Pope CE, Pellegrini CA, et al. Increased prevalence of gastroesophageal reflux in patients with idiopathic pulmonary fibrosis. Am J Respir Crit Care Med. 1998;158(6):1804-1808. doi: 10.1164/ajrccm.158.6.9804105.
- Lee JS, Ryu JH, Elicker BM, et al. Gastroesophageal reflux therapy is associated with longer survival in patients with idiopathic pulmonary fibrosis. Am J Respir Crit Care Med. 2011;184(12):1390-1394. doi: 10.1164/rccm.201101-0138OC.
- Lee JS, Collard HR, Anstrom KJ, et al. Anti-acid treatment and disease progression in idiopathic pulmonary fibrosis: an analysis of data from three randomized controlled trials. Lancet Respir Med. 2013;1(5):369-376. doi: 10.1016/S2213-2600(13)70105-X.
WHAT DO PATIENTS WITH IPF WANT IN PULMONARY REHAB EDUCATION?
Pulmonary rehabilitation (PR) is the cornerstone of management of individuals with chronic respiratory diseases and has been shown to improve symptoms, exercise tolerance, and quality of life in patients with a variety of respiratory diseases including interstitial lung disease (ILD).1
Based on data from 2 controlled trials of PR in IPF, the 2011 ATS/ERS/JRS/ALAT IPF guidelines recommend that the majority of patients with IPF should be treated with PR.2 PR programs consist of aerobic conditioning, strength and flexibility training, educational lectures, nutritional interventions, and psychosocial support.2
Of concern is the fact that the educational content of PR was developed for patients with chronic obstructive pulmonary disease (COPD) and covers topics that may not be applicable to patients with IPF, as the conditions are dissimilar in terms of the physiological basis of exercise imitations, symptoms, treatment, disease progression, and outcomes.3 In order to address this issue, Holland, Fiore, Goh, Symons, et al queried patients and clinicians to determine the educational topics that should be included in PR programs for patients with ILD.3
WHAT THEY DID
The authors conducted individual semi structured interviews with 18 patients with ILD, 9 of whom had IPF, and 14 clinicians who treat patients with ILD.3 Questions focused on the educational needs of people with ILD and drew upon a previous appraisal of PR information needs for patients with COPD along with suggested ILD education topics in a published expert review.
WHAT THEY FOUND
Most patients with IPF understood the serious and progressive nature of their condition.3 Across the patient interviews, the strongest theme was the wish for PR clinicians to be honest about their prognosis and provide information about what to expect over the course of the disease.
In addition, patients indicated a desire for information on end-of-life planning and felt comfortable addressing the topic in a group setting. Most patients indicated a willingness to attend standard PR education sessions but desired ILD-specific content. For example, patients noted that they would like information on managing cough, how to manage medications and their side effects, and strategies to limit disease progression.
Among clinicians, management of cough and use of oxygen therapy were topics consistently acknowledged as critical components of ILD education. Additionally, most clinicians noted that patients needed to understand the types of treatments available, including the role of clinical trials.
There was disagreement among clinicians regarding whether prognosis and advanced care planning should be discussed in PR. Some felt that discussion of these topics should be handled by the treating physician and/or that the topics were not appropriate for a group setting.
WHAT IT MEANS
Patients with ILD have specific educational needs that are not currently addressed in standard PR education programs.3
Abstract
REFERENCES
- Spruit MA, Singh SJ, Garvey C, et al. An official American Thoracic Society/European Respiratory Society statement: key concepts and advances in pulmonary rehabilitation. Am J Respir Crit Care Med 2013;188(8):e13-e64. doi: 10.1164/rccm.201309-1634ST.
- Raghu G, Collard HR, Egan JJ, et al. An official ATS/ERS/JRS/ALAT statement: idiopathic pulmonary fibrosis: evidence-based guidelines for diagnosis and management. Am J Respir Crit Care Med 2011;183(6):788-824. doi: 10.1164/rccm.2009-040GL.
- Holland AE, Fiore JF, Jr, Goh N, et al. Be honest and help me prepare for the future: What people with interstitial lung disease want from education in pulmonary rehabilitation. Chron Respir Dis 2015;12(2):93-101. doi: 10.1177/1479972315571925.
CURRENT GUIDELINES FOR MANAGING IPF
An Official ATS/ERS/JRS/ALAT Statement: Evidence-Based Guidelines For Managing IPF.
Excerpted from: Raghu G, Collard HR, Egan JJ et al. Am J Respir Crit Care Med. 2011;183(6)788-824.
Note: this document was published in 2011. A revised version was published in 2018. Certain aspects of this document may be out of date and caution should be used when applying these in clinical practice or other usages.
Note: text in italics are excerpts from Raghu G, Remy-Jardin M, Myers JL et al. Am J Respir Crit Care Med. 2018;198(5):e44-e68.
MANAGING IPF1
- IPF is a fatal lung disease whose natural history is variable and unpredictable
- Although nonpharmacologic strategies and comorbidity management have shown variable effect on patient outcomes, many of these approaches are recommended by the 2011 ATS/ERS/JRS/ALAT guidelines for patients with IPF
NONPHARMACOLOGIC TREATMENTS FOR IPF
OXYGEN THERAPY1,2
Question: Should patients with IPF and resting hypoxemia receive long-term oxygen therapy?
There is no data that directly informs the use of long-term oxygen therapy in patients with IPF. One study has retrospectively compared survival in a cohort of patients with IPF many of whom (27%) received oxygen therapy. In multivariate analysis, no survival benefit was demonstrated with oxygen use. This study was limited by its retrospective design...
Recommendation: We recommend that patients with IPF and clinically significant resting hypoxemia should be treated with long-term oxygen therapy (strong recommendation, very low-quality evidence).
Values: This recommendation places a high value on evidence from other chronic lung diseases and a low value is an inconvenience...
The guidelines recommend long-term oxygen supplementation for patients with IPF and clinically significant hypoxemia.
LUNG TRANSPLANTATION1,2
Question: Should appropriate patients with IPF undergo lung transplantation?
Five-year survival rates after lung transplantation in IPF are estimated at 50 to 56%. A single-center study of 46 patients referred for lung transplantation with IPF demonstrated a reduced risk of death at 5 years in patients receiving lung transplantation. Additional evidence suggests that patients with pulmonary fibrosis undergoing lung transplantation have favorable long-term survival compared with other disease indications...
Recommendation: We recommend that appropriate patients with IPF should undergo lung transplantation (strong recommendation, low-quality evidence).
Values: This recommendation places a high value on low-quality evidence showing a...
The guidelines recommend lung transplantation for appropriate patients with IPF.
MECHANICAL VENTILATION1,2
Question: Should patients with respiratory failure due to IPF receive mechanical ventilation?
There are several small studies of mechanical ventilation in patients with IPF and respiratory failure, all of which show a high hospital mortality rate. The inclusion criteria varied among studies, with some only including patients with respiratory failure of unknown etiology...
Recommendation: The majority of patients with respiratory failure due to IPF should not receive mechanical ventilation, but mechanical ventilation may be a reasonable intervention in a minority (weak recommendation, low-quality evidence).
Values: This recommendation places a high value on the high mortality observed in this patient population and on reducing...
The guidelines do not recommend mechanical ventilation for the majority of patients with IPF and respiratory failure.
PULMONARY REHAB1,2
Question: Should patients with IPF receive pulmonary rehabilitation ?
Pulmonary rehabilitation programs involve aerobic conditioning, strength and flexibility training, educational lectures, nutritional interventions, and psychosocial support. Pulmonary rehabilitation has recently been studied in patients with ILD. Two controlled trials of pulmonary rehabilitation in IPF have demonstrated an improvement in walk distance and symptoms or quality of life...
Recommendation: The majority of patients with IPF should be treated with pulmonary rehabilitation, but pulmonary rehabilitation may not be reasonable in a minority (weak recommendation, low-quality evidence).
Values: This recommendation places a high value on moderate-quality data demonstrating improvement in functional status and…
The guidelines recommend that the majority of patients with IPF receive pulmonary rehabilitation.
TREATING COMORBIDITIES1,2
Treatment of Selected Complications and Comorbid Conditions
There is an increasing awareness of complications and comorbid conditions frequently associated with IPF. These include acute exacerbation of IPF, pulmonary hypertension, gastroesophageal reflux disease, obesity, emphysema, and obstructive sleep apnea. It is unknown if treating these comorbidities influences clinical outcomes. There is no data on which to make recommendations for treatment of obesity, emphysema, and obstructive sleep apnea in the setting of IPF.
Treating comorbidities may or may not affect outcomes for patients with IPF. Check the guidelines for recommendations on treating individual comorbidities.
PALLIATIVE CARE1,2
Palliative care focuses on reducing symptoms and providing comfort to patients, rather than treating patients’ disease. Specific goals for palliative care include relief from physical and emotional suffering and consideration for psychological and spiritual support for patients and caregivers. Such care will need to be individualized. Palliative care should be considered an adjunct to disease-focused care. Worsening of symptoms such as cough and dyspnea are common and difficult to treat. Limited data suggest that corticosteroids and thalidomide may be beneficial for chronic cough in IPF. Chronic opioids may be used for severe dyspnea and cough; careful monitoring for side effects should be performed. Advanced directives and end-of-life care issues should be addressed...
Individualized care should focus on relieving physical and emotional suffering, as well as psychological and spiritual support for patients and caregivers.
It should be used as an adjunct to disease-based care.
MONITORING DISEASE PROGRESSION1,2
Monitoring the Clinical Course of Disease
Monitoring of patients with IPF is necessary to proactively identify patients with progressive disease, to appreciate worsening of symptoms and oxygenation, and to detect the development of disease or treatment complications. In addition, careful assessment of the clinical course is useful in helping patients understand their disease course and in initiating timely, appropriate therapeutic interventions, including consideration of lung transplantation.
Patients should be monitored regularly to detect worsening symptoms and oxygenation, as well as developing comorbidities (disease- or treatment- based).
Monitoring for Progressive Disease
Disease progression may be manifested by increasing respiratory symptoms, worsening pulmonary function test results, progressive fibrosis on high resolution computed tomography (HRCT), or acute respiratory decline. In the absence of another identifiable cause, the presence of any of the following changes is consistent with progressive disease:
- Progressive dyspnea (objectively assessed)
- Progressive, sustained decrease from baseline in absolute forced vital capacity (FVC)
- Progressive, sustained decrease from baseline in absolute diffusing capacity for carbon monoxide (DLCO) (corrected for hemoglobin)
- Progression of fibrosis from baseline on HRCT
- Acute exacerbation
- Death from respiratory failure
These parameters were developed based on data from clinical trials (see STAGING AND PROGNOSIS). While progressive dyspnea is an important subjective variable, objective...
DISEASE PROGRESSION1
Changes associated with disease progression include:
- Progressive dyspnea
- Progressive, sustained decrease from baseline in absolute FVC or DLCO
- Progressive fibrosis from baseline on HRCT
- Acute exacerbation
- Death from respiratory failure
MONITORING FOR WORSENING SYMPTOMS1,2
Identifying patients with worsening respiratory symptoms (e. g., dyspnea) has important management implications. Patients experiencing worsening respiratory symptoms require evaluation for progressive disease, assessment of oxygenation at rest and with exertion, and prompt detection of secondary complications (e. g., development of deep venous thrombosis and pulmonary embolus). In addition, some patients may benefit from symptom-based therapies. There are several research tools available for the quantification of dyspnea. It is unclear if any of these tools have clinical utility.
Identifying patients with worsening symptoms is important to properly manage their treatment.
MONITORING FOR OXYGENATION1,2
Monitoring for Worsening Oxygenation
Oxygen saturation by pulse oximetry should be measured at rest and with exertion in all patients regardless of symptoms to assure adequacy of oxygenation and identify the need for supplemental oxygen at baseline and during follow-up evaluation. Careful attention to the pulse oximetry tracing and signal is required to overcome potential problems related to poor circulation and inadequate signal quality. Generally, desaturation below 88% during a formal 6-minute walk test (6MWT) or equivalent has been used to prescribe supplemental oxygen. Such measurements should be performed at baseline and during follow up at 3- to 6-month intervals. Formal cardiopulmonary exercise testing does not have a defined role and is not recommended for routine monitoring.
Monitoring oxygenation levels is critical to a timely prescription for supplemental oxygen.
- Oxygenation should be measured at rest and exertion at baseline and follow-up appointments
- Desaturation of ≤88% should generally lead to use of supplemental oxygen
MONITORING FOR COMORBIDITIES1,2
Monitoring for Complications and Comorbidities
Comorbidities including pulmonary hypertension, pulmonary embolism, lung cancer, and coronary artery disease are known to occur in IPF. While the development of these comorbidities may influence survival, the role of routine screening to identify such complications in patients with IPF (e.g., annual HRCT for lung cancer surveillance) is unknown.
Thus, a recommendation for routine screening cannot be made. In patients demonstrating progressive disease, the identification of pulmonary hypertension may impact consideration for lung transplantation in eligible patients, and evaluation is indicated. Echocardiography is inaccurate in estimating pulmonary hemodynamics in patients with fibrotic lung disease and should not be relied upon to assess the presence and severity of...
The guidelines do not provide recommendations for routine screening for comorbidities.
- Acute respiratory worsening should lead to evaluation for acute exacerbation of IPF
REFERENCES:
- Raghu G, Collard HR, Egan JJ, et al. An official ATS/ERS/JRS/ALAT statement: idiopathic pulmonary fibrosis: evidence-based guidelines for diagnosis and management. Am J Respir Crit Care Med. 2011;183(6):788-824. doi: 10.1164/rccm.2009-040GL.
- Raghu G, Remy-Jardin M, Myers JL, et al. Diagnosis of Idiopathic Pulmonary Fibrosis. An Official ATS/ERS/JRS/ALAT Clinical Practice Guideline. Am J Respir Crit Care Med. 2018;198(5):e44-e68. doi: 10.1164/rccm.201807-1255ST.
IS DAILY HOME SPIROMETRY AN EFFECTIVE TOOL FOR DETECTING DISEASE PROGRESSION IN IPF?
BACKGROUND
Following a diagnosis of idiopathic pulmonary fibrosis (IPF), prognosis is generally poor, with a median survival of 3-5 years.1 Furthermore, the variable clinical course associated with disease progression makes patient management a challenge for health care professionals (HCPs).2 One of the best measures of IPF progression is change in forced vital capacity (FVC);3 however, FVC measurements are only done periodically in outpatient settings. Coupled with the variable and unpredictable course of IPF,4 traditional intermittent FVC measurements fail to capture the true breadth of IPF progression.2 However, with the recent miniaturization and falling cost of medical devices, home spirometry has already been adopted for monitoring of acute rejection in lung transplant recipients5 and, as such, may be useful to monitor IPF progression and early detection of acute exacerbations of IPF.2 To this end, the aim of this study was to assess the feasibility, reliability, and potential advantages of daily domiciliary measurements of FVC to provide a more granular picture of IPF progression and better manage patient care.2
WHAT THEY DID
Study participants (N=50) were given a portable hand-held Micro spirometer (CareFusion), which fully conforms to current American Thoracic Society and European Respiratory Society standards. Subjects were given a dedicated 60-minute training session, with a refresher course after approximately 1 month. Participants were asked to record their single daily spirometry readings at roughly the same time each day in a dedicated diary. The patient-recorded FVC values were compared to typical clinical assessments that occurred at 3-month intervals, as well as lung function testing that occurred at 6 and 12 months during the study. The correlation between change in FVC and subsequent patient survival was analyzed using Cox proportional hazards regression for all values from baseline to 28 days, 3 months, 6 months, and 12 months. Rate of change in FVC was assessed categorically using thresholds of 5% and 10% declines from baseline.
WHAT THEY FOUND
As corroborated by current literature, a 12-month rate of decline in FVC of ≥10% was strongly predictive of outcome (Fig.1). Similarly, rate of change from baseline to 6 months was predictive of outcome when thresholds of 5% and 10% declines in FVC were applied. The authors also found that rate of decline of FVC at 3 months, when dichotomized at a 5% threshold, was the strongest predictor of subsequent outcome. Rate of change from baseline to day 28 failed to provide any prognostic value. Utilizing receiver operating characteristic (ROC) analysis, it was shown that 3-month change in FVC was strongly predictive of disease progression (area under curve [AUC] = 0.796, P<.001). Moreover, a >5% change at 3 months showed a specificity and selectivity of 90.5% and 62.1%, respectively, for predicting patients likely to have experienced disease progression at 12 months. Importantly, these data are in agreement with previously reported disease paradigms, with the majority of patients showing near-linear declines in FVC over time, and smaller groups of patients experiencing extremely rapid disease progression or acute exacerbations.4,6
WHAT IT MEANS
Daily domiciliary FVC assessments correlate well with hospital-based measurements; further, they were shown to be highly predictive of IPF progression and outcome and more sensitive than traditional, periodic, hospital-based measurements. This is important, as the majority of patients with IPF experience near-linear declines in FVC over time, allowing for a more granular picture of disease progression through the use of daily domiciliary spirometry. Home spirometry also has the potential to personalize patient care by allowing for the early identification and treatment of IPF-related complications, such as acute exacerbations of IPF. This is significant as these events are indicative of IPF progression and represent an increased risk of mortality.3
Link to Abstract: https://pubmed.ncbi.nlm.nih.gov/27089018/
REFERENCES
- Collard HR, Moore BB, Flaherty KR, et al. Acute exacerbations of idiopathic pulmonary fibrosis. Am J Respir Crit Care Med. 2007;176:636-643.
- Russell AM, Adamali H, Molyneaux PL, et al. Daily home spirometry: An effective tool for detecting progression in idiopathic pulmonary fibrosis. Am J Respir Crit Care Med. 2016.
- Reichmann WM, Yu YF, Macaulay D, Wu EQ, Nathan SD. Change in forced vital capacity and associated subsequent outcomes in patients with newly diagnosed idiopathic pulmonary fibrosis. BMC Pulm Med. 2015;15:167-180.
- Ley B, Collard HR, King TE Jr. Clinical course and prediction of survival in idiopathic pulmonary fibrosis. Am J Respir Crit Care Med. 2011;183:431-440.
- Belloli EA, Wang X, Murray S, et al. Longitudinal forced vital capacity monitoring as a prognostic adjunct after lung transplantation. Am J Respir Crit Care Med. 2015;192:209-218.
- Martinez FJ, Safrin S, Weycker D, et al. The clinical course of patients with idiopathic pulmonary fibrosis. Ann Intern Med. 2005;142:963-967.
See also

Test your knowledge

Bridging Educational Gaps in ILD

Media Library