FOR U.S. HEALTHCARE PROFESSIONALS ONLY

Insights in ILD
search-icon

Search

Search Arrow Icon
assets-uicons-close

Menu

  • Diseases
    • Autoimmune ILD

      About autoimmune ILD

      Autoimmune ILDs are disorders that exhibit autoimmune-mediated damage due to circulating auto-antibodies that target various body organs and cause symptomatic presentation.

      Back

      Diseases

      Show all diseases
      Autoimmune ILD
      • Antisynthetase Syndrome-Related ILD
      • Autoimmune ILD
      • Interstitial Pneumonia with Autoimmune Features
      • Mixed Connective Tissue-Related ILD
      • Myositis
      • Rheumatoid Arthritis-Related ILD
      • Sjögren's Syndrome ILD
      • Systemic Lupus Erythematosus-Related ILD
      • Systemic Sclerosis-Related ILD
    • Idiopathic ILD

      About Idiopathic ILD

      Idiopathic interstitial pneumonias are of unknown etiology characterized by varying degrees of inflammation and fibrosis.

      Idiopathic ILD
      • Acute Interstitial Pneumonia
      • Cryptogenic Organizing Pneumonia
      • Desquamative Interstitial Pneumonia
      • Idiopathic Nonspecific Interstitial Pneumonia
      • Idiopathic Lymphocytic Interstitial Pneumonia
      • Idiopathic Pleuroparenchymal Fibroelastosis
      • Idiopathic Pulmonary Fibrosis
      • Respiratory Bronchiolitis-Associated Interstitial Lung Disease
      • Unclassifiable ILD
    • Hypersensitivity
      pneumonitis

      ABOUT Hypersensitivity pneumonitis

      Hypersensitivity pneumonitis is a lung disease affecting the lung parenchyma and small airways, causing inflammation of the lung tissue.

      Go to the page
    • Sarcoidosis

      ABOUT Sarcoidosis

      Sarcoidosis is a multisystem granulomatous disease of unknown cause that primarily affects the lung and lymphatic systems.

      Go to the page
    • Other ILD

      About Other ILD

      Other ILDs are rare forms of interstitial lung disease which we’re still studying to determine their categorization.

      Other ILD
      • Lymphangioleiomyomatosis
      • Pulmonary Langerhans Cell Histiocytosis
      • Exposure-Related ILDs
      • Occupational ILD
      • Vasculitis/Diffuse Alveolar Hemorrhage
      • Other Rare ILDs
    • Go to the page
  • Diagnostic Center

    Diagnostic
    Center

    Study important components of examining ILDs.

    Go to the page
    • Group 9

      Breath Sounds

    • Lungs Clipart

      HRCT

    • Bitmap2

      Histology

    • Quick links for Radiologists Icon

      Tests

  • Curricula

    Curricula

    Explore interstitial lung diseases by specialty or start with a general introduction.

    Go to the page
    • Group 9

      ILD
      Overview

    • Group 8

      Pulmonology
      Quicklinks

    • Knee Joint Clipart

      Rheumatology
      Quicklinks

    • Lungs Clipart

      Radiology
      Quicklinks

    • Group 9

      Primary Care
      Quicklinks

  • Media Library

    Media library

    Find relevant media that review and discuss the various aspects of interstitial lung diseases from experts on the subject.

    Go to the page
    • Video Player Clipart

      Videos

    • Group@@8

      Podcasts

    • File Icon

      Downloadable Resources

  • Test Your Knowledge
  • Unmet Need
  • rate-this-site
  • Homepage
  • Diagnostic Center

Diagnostic Center

FILTER BY TOPIC
Doctor Pointing Out Specifics of X-Ray

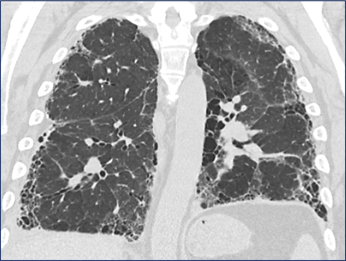
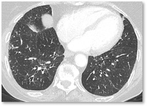
HRCT Gallery

View Gallery

Radiology Rounds: A Closer Look at Interstitial Lung Disease

Read more

Test your eyes

Reading HRCT Scans

Take test

Boehringer Ingelheim Logo
  • Accessibility
    Statement
  • Terms of Use
  • Imprint
  • US Privacy
    Statement
  • Consumer Health Data
    Privacy Statement
  • Cookie
    Statement
  • Do Not Sell or Share
    My Personal Data
  • Limit the Use of My Sensitive Data
  • Contact Us
  • Sitemap

This information is for U.S. residents only.
Use of this site is subject to the Internet Site Legal Notices and Disclaimers and Privacy Notice.

Copyright © 2025 Boehringer Ingelheim Pharmaceuticals, Inc. All rights reserved. (04/25) PC-US-143252

Disclaimer

You are now leaving a Boehringer Ingelheim ("BI") website. BI is not responsible for the contents, processing of personal data of any linked site or any link contained in a linked site, or any changes or updates to such sites. This link is provided to you only as a convenience, and the inclusion of any link does not imply endorsement by BI of the site.

Ok
Prevalence of ILD among Autoimmune Diseases
Prevalence of ILD among Autoimmune Diseases