HRCT Gallery
Review the features of ILD on HRCT below.

Axial and coronal HRCT images showing reticulation in two patients with IPF. Reticulation results from thickening of the interlobular or intralobular septa, and appears as several linear opacities that resemble a mesh or a net on HRCT scans. Usual interstitial pneumonia (UIP) is characterized by reticulation in the presence of traction bronchiectasis and often honeycombing.
Reference:
- Hansell DM et al. Radiology. 2008;246:697-722.
Images courtesy of and used with permission from Sudhakar Pipavath, MD.

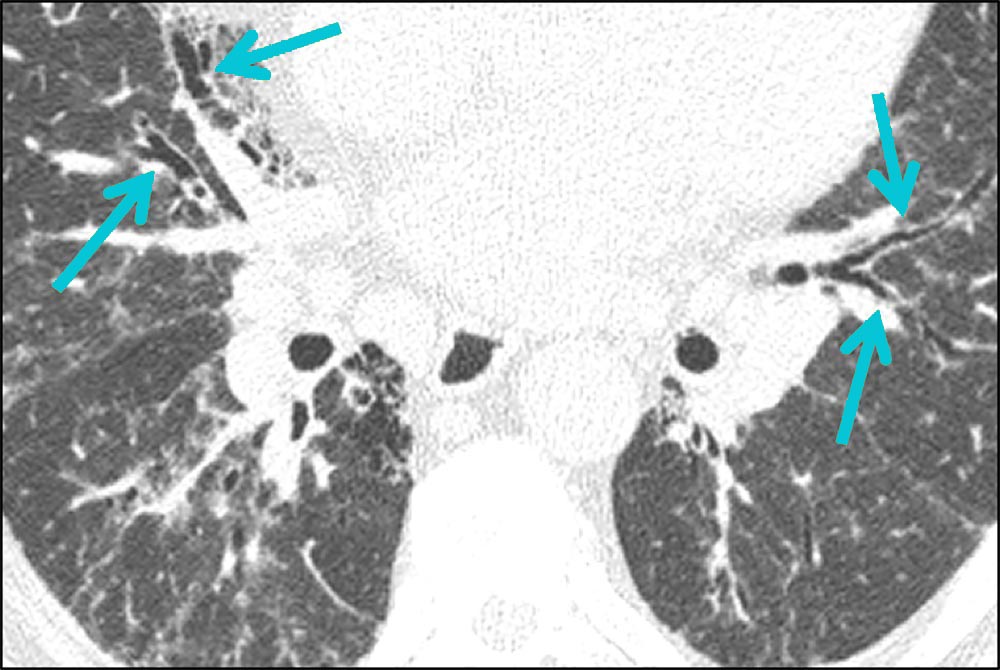
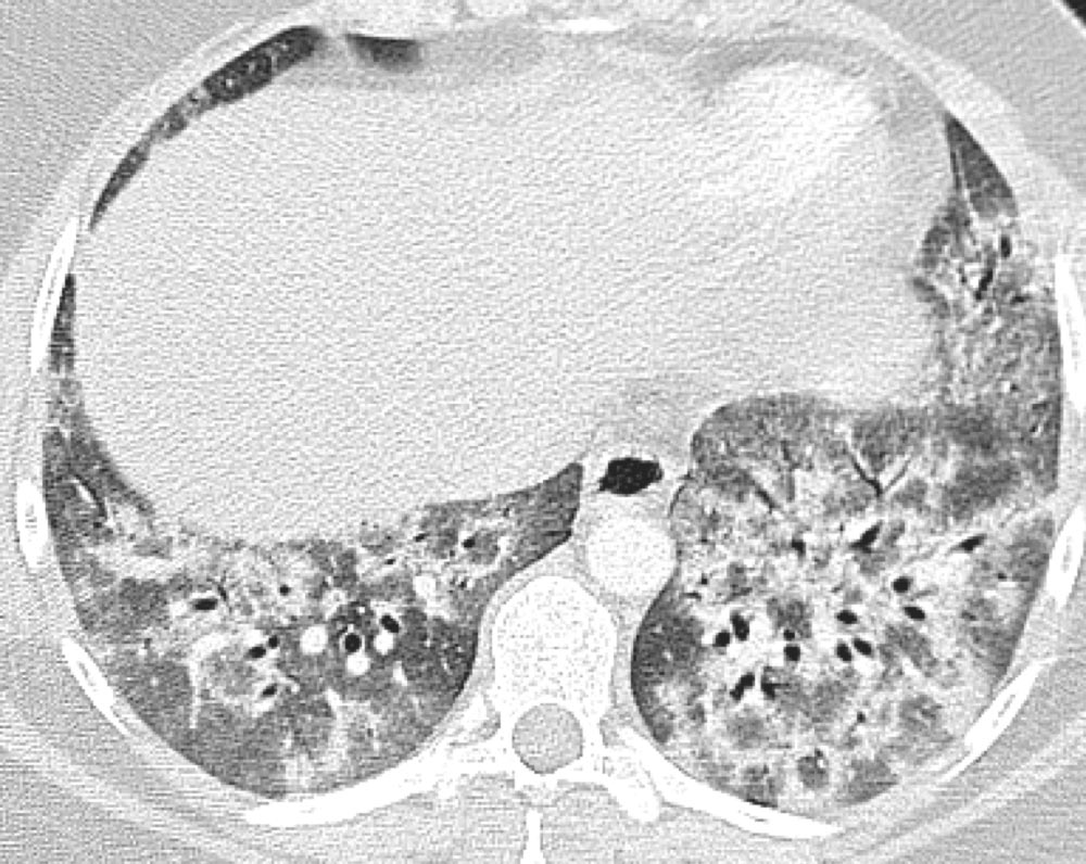
Axial HRCT scan showing prominent traction bronchiectasis, resulting from from fibrotic tissue “pulling” on the bronchi.1 Peripheral, lower-lobe predominant traction bronchiectasis in the setting of changes consistent with fibrosis is highly suggestive of IPF.2,3
References:
- Hansell DM et al. Radiology. 2008;246:697-722.
- Raghu G et al. Am J Respir Crit Care Med. 2011;183:788-824.
- Raghu G et al. Am J Respir Crit Care Med. 2018;198(5):e44-e68.
Image courtesy of and used with permission from Sudhakar Pipavath, MD.

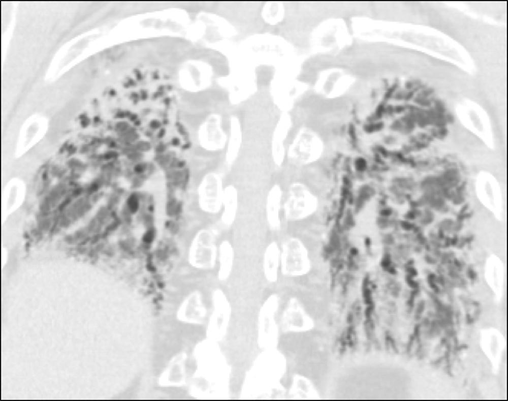
Coronal HRCT scan demonstrating traction bronchiectasis.
Image courtesy of and used with permission from Sudhakar Pipavath, MD.

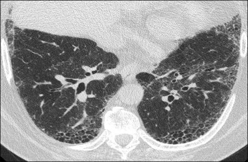
Axial HRCT showing subpleural honeycombing at the bases of the lung in a patient with IPF. On HRCT, honeycomb cysts appear as enlarged airspaces that are often irregular in size, share thick walls, and are stacked upon one another.1 The cysts are typically 3-10 mm in diameter but can be as large as 2.5 cm.1,2 Honeycombing results from the deposition of dense collagen fibers that destroy the characteristic alveolar structure,2 and is typically representative of end-stage lung disease.1 Subpleural, peripheral honeycombing with reticulation in the absence of significant ground glass opacity, consolidation, or non-honeycomb cysts is strongly suggestive of usual interstitial pneumonia (UIP).
References:
- Hansell DM et al. Radiology. 2008;246:697-722.
- Raghu G et al. Am J Respir Crit Care Med. 2011;183:788-824.
Image courtesy of and used with permission from Jonathan Goldin, MD, PhD.

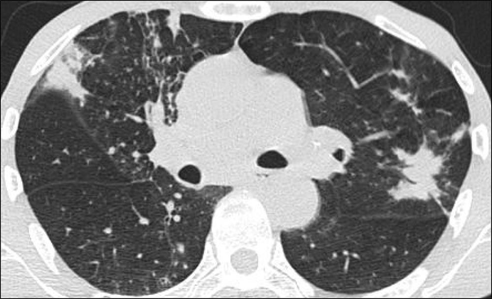
Axial HRCT image demonstrating ground glass opacity, a hazy area of increased attenuation with preserved anatomy.
Reference:
- Hansell DM et al. Radiology. 2008;246:697-722.
Image courtesy of and used with permission from Sudhakar Pipavath, MD.

Axial HRCT demonstrating consolidation, the replacement of air with exudate or other disease product which causes the lung to appear solid. Unlike ground glass opacity, consolidation obscures blood vessels and airway walls.
Reference:
- Hansell DM et al. Radiology. 2008;246:697-722.
Image courtesy of and used with permission from Jonathan Goldin, MD, PhD.

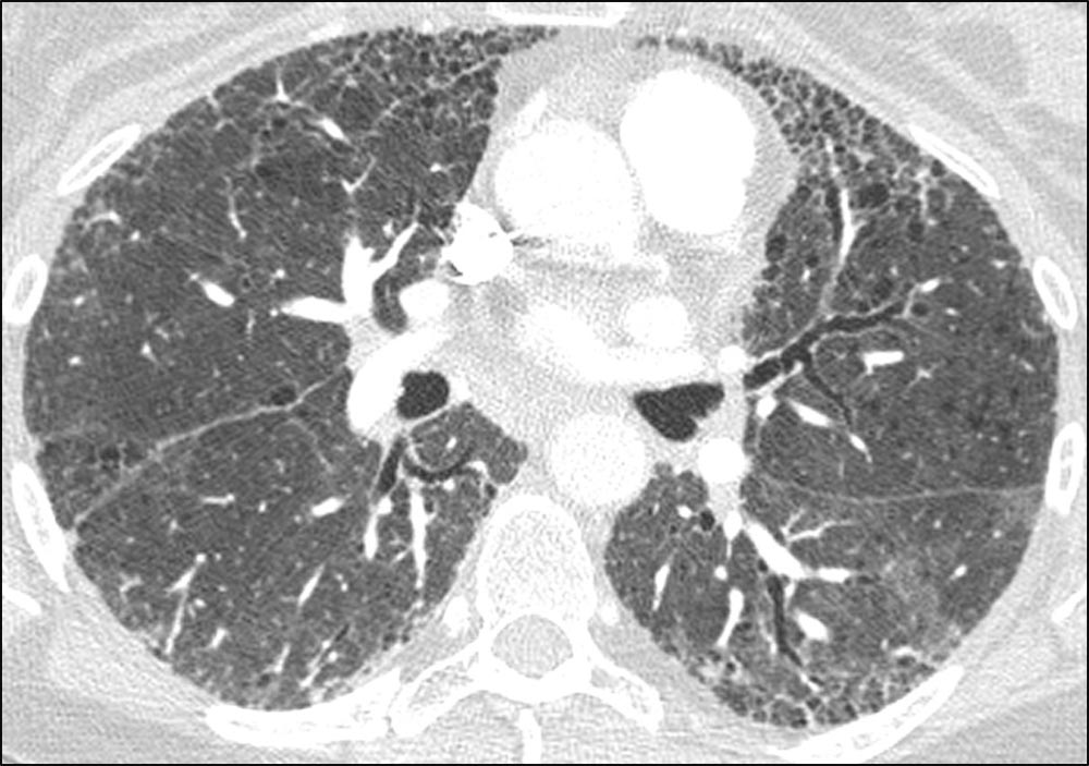
Axial HRCT showing significant honeycombing in a predominantly subpleural pattern at the bases of the lung with peripheral reticulation and traction bronchiectasis. Note the asymmetric pattern of fibrosis, a hallmark feature of usual interstitial pneumonia (UIP).
Image courtesy of and used with permission from Sudhakar Pipavath, MD.

Axial HRCT image showing basal- and peripheral-predominant reticulation and honeycombing. These features are consistent with usual interstitial pneumonia.
Image courtesy of and used with permission from Sudhakar Pipavath, MD.

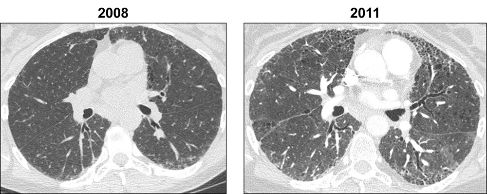
This series of axial HRCT images shows the progression of usual interstitial pneumonia (UIP) over time. The peripheral reticulation in the 2008 image has progressed to honeycombing over the 3 year time period, and prominent traction bronchiectasis is seen in the later image, a feature not seen previously.
Images courtesy of and used with permission from Sudhakar Pipavath, MD.

This series of sagittal HRCT images taken from the same patient as the above axial progression images show a lower-lung predominance of abnormalities that has progressed over time.
Image courtesy of and used with permission from Sudhakar Pipavath, MD.

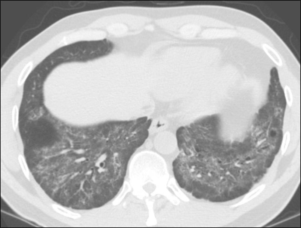
This axial HRCT scan shows a diffuse, homogeneous parenchymal abnormality with architectural distortion, traction bronchiectasis, and fibrosis suggestive of a pattern other than usual interstitial pneumonia (UIP). Note that the subpleura is relatively normal, termed subpleural sparing, a feature often seen with nonspecific interstitial pneumonia (NSIP).
Images courtesy of and used with permission from Sudhakar Pipavath, MD.

Axial inspiratory and expiratory HRCT images showing air trapping in a patient with chronic hypersensitivity pneumonitis. In the inspiratory image to the left, the lung parenchyma is abnormal with apparent architectural distortion and reticulation in a subpleural distribution. Also present is mild traction bronchiectasis and areas of obvious opacity, reticulation, and volume loss, suggestive of fibrosis. In the expiratory image, there are areas of increased blackness which have failed to empty their air on expiration, indicating air trapping. The finding of air trapping is suggestive of a pattern other than usual interstitial pneumonia (UIP).
Images courtesy of and used with permission from Jonathan Goldin, MD, PhD.

Coronal inspiratory and expiratory images from the same patient with chronic hypersensitivity pneumonitis. In the inspiratory cut, there is a subpleural predominance of architectural distortion and reticulation, regional volume loss, and traction bronchiectasis. In the expiratory image, there is obvious air trapping in addition to areas of mosaic attenuation.
Images courtesy of and used with permission from Jonathan Goldin, MD, PhD.

Axial HRCT scan through the lower lungs showing ground glass opacity and consolidation in a subpleural and peribronchial distribution. Also present is the Atoll sign, a ring of consolidation surrounding focal ground glass. These findings are typical of organizing pneumonia.
Images courtesy of and used with permission from Sudhakar Pipavath, MD.

This series of two axial HRCT images showing the resolution of organizing pneumonia over time with appropriate treatment.
Images courtesy of and used with permission from Sudhakar Pipavath, MD.