Interstitial Lung Disease
A CHECKLIST FOR EVALUATING A PATIENT WITH DYSPNEA AND DRY COUGH FOR POTENTIAL ILD1
- Comprehensive patient history
- Comprehensive physical exam
- Pulmonary function testing
- Laboratory analyses
- Imaging
- Other modalities (as indicated)
A COMPREHENSIVE HISTORY HELPS NARROW THE LIST OF POTENTIAL ILDs
Past Medical History:3,10
- Gastroesophageal reflux disease
- Cancer, chemotherapy, and/or radiation therapy
- Cardiac arrhythmias and amiodarone use
- Prostate, urinary, kidney infections, and nitrofurantoin use
Current and Past Chronic Medications:11,12
- Cancer, chemotherapy, and/or radiation therapy
- Amiodarone use
- Nitrofurantoin use
Exposure History:3
- Tobacco use
- Drug use
- Occupational
- Environmental
- Avocational
Family History:3,10,11
- Pulmonary fibrosis
- ILD
- Sarcoidosis
- Autoimmune disease
- Oxygen use
SPECIFIC SOUNDS AND THEIR TIMING CAN HELP NARROW DOWN POSSIBLE ILDs
Crackles:
- Many ILDs exhibit fine, bibasilar crackles13,14
- However, crackles are not specific to lLDs13
- The timing and location of the crackles can vary, which further distinguishes the specific cause, such as COPD, pneumonia, asbestosis, chronic bronchitis, and pulmonary edema secondary to heart failure13
- Crackles may occur alongside other breath sounds, providing further clues to the potential cause(s) of dyspnea and/or cough13,15,16
Wheezes/Squeaks/Pops/Rhonchi
- Sounds heard at initial inspiration and those heard primarily at the tops of the lungs should prompt investigation of causes other than ILDs, although these can also be characteristic of some forms of ILD13,17
- Thorough auscultation of all regions is the best way to ensure that the signs of all potential explanations of dyspnea and/or cough are explored13
PATIENTS REPORTING DYSPNEA SHOULD UNDERGO COMPLETE PULMONARY FUNCTION TESTS2,10
- PFTs allow the physician to:18
- Evaluate lung function
- Differentiate among pulmonary disorders
- Guide initial management strategies
- Pulmonary function can be assessed using parameters such as:3,10,19
- Lung volumes – forced expiratory volume in 1 minute (FEV1), forced vital capacity (FVC)
- Gas exchange – diffusing capacity of the lungs for carbon monoxide (DLco)
- Dyspnea on exertion – 6-minute walking test (6MWT)
PFTS HELP DETERMINE THE TYPE OF RESPIRATORY DEFECT PRESENT18
Obstructive defect20
- Total lung capacity (TLC) is normal
- Normal FVC
- Lower FEV1
- Lower FEV1/FVC ratio
- Flows are lower than expected over the entire volume range
Restrictive defect20
- TLC is low
- Low FVC
- High or normal FEV1/ FVC ratio
- Flows are higher than expected at a given lung volume

Used with permission from Pellegrino R, Viegi G, Brusasco V, et al. Interpretative strategies for lung function tests. Eur Respir J. 2005;26(5):948-968. doi: 10.1183/09031936.05.00035205.
Restrictive defects are common in ILDs.18
PFTS HELP DIFFERENTIATE PULMONARY DISORDERS18,21
| Obstructive | Restrictive | Mixed | |
|---|---|---|---|
| FEV1/FVC | Decreased | Normal or increased | Decreased |
| FEV1 | Decreased | Decreased, normal or increased | Decreased |
| FVC | Decreased or normal | Decreased | Decreased or normal |
| TLC | Normal or increased | Decreased | Decreased, normal or increased |
| Residual volume (RV) | Normal or increased | Decreased | Decreased, normal or increased |
| DLco | Decreased | Decreased | Decreased |
Obtaining complete PFTs is important because it allows determination of the nature of the respiratory defect.18
OTHER INVESTIGATIONS FOR EVALUATING POTENTIAL ILDS22-24
- Laboratory workups
- Chest X-ray
- High-resolution computed tomography (HRCT)
- Lung biopsy
- Bronchoalveolar lavage (BAL)
LABORATORY WORKUP25
- Basic blood tests [e.g., complete blood count (CBC)] are generally a first step in evaluating a patient, although many ILDs will not have specific abnormalities1
- Some ILDs — particularly those associated with autoimmune diseases will often exhibit characteristic antibody signatures2
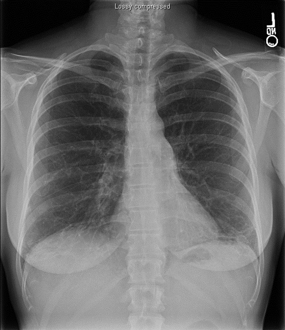
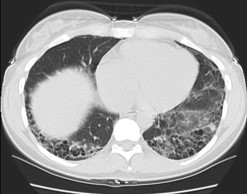
CHEST X-RAYS ARE IMPORTANT TO RULE OUT OTHER POSSIBLE CAUSES OF SHORTNESS OF BREATH
- Chest X-rays cannot solely diagnose most ILDs, but they can help rule out other causes of dyspnea, including heart disease, pneumonia, collapsed lung, emphysema, and lung cancer3,26
- When possible, previous chest X-rays should be included in the evaluation to determine whether the disease process is acute or chronic2
If an X-ray report states ILD, interstitial findings, or reticulation, the patient should be referred to a pulmonologist for an HRCT scan and further workup.2
HRCTS ARE AN ESSENTIAL PIECE OF DIAGNOSING MANY ILDs
- HRCT creates high-resolution stacked X-ray slices to visualize internal organs27,28
- HRCT allows physicians to:3,29
- Differentiate features that help distinguish among various ILDs
- Assess progression of disease and to exclude concomitant processes such as emphysema, edema, or infection
PATIENTS WITH DYSPNEA AND/OR COUGH SHOULD HAVE AN HRCT TO LOOK FOR SIGNS OF ILD BECAUSE CHEST X-RAYS MAY APPEAR NORMAL30
Chest X-Ray

HRCT

Images courtesy of and used with permission from the American Thoracic Society.
LUNG BIOPSY CAN ADD ADDITIONAL INFORMATION FOR MAKING AN ACCURATE DIAGNOSIS
Depending on the specific ILD suspected and the outcome of other evaluations, such as serologies and/or HRCT, lung biopsy may be recommended to accurately diagnose the patient’s condition31,32
Types of lung biopsy procedures:33,34
- Open lung biopsy
- Video-assisted thoracoscopic surgery
- Cryobiopsy
Patients with suspected acute exacerbations of ILD should not be referred for lung biopsy due to higher risk of mortality.31,35
BRONCHOALVEOLAR LAVAGE MAY PROVIDE INFORMATION THAT CAN REDUCE THE NEED FOR LUNG BIOPSY24
- Performing BAL can rule out opportunistic infections and is useful in diagnosing hypersensitivity pneumonitis and sarcoidosis24
- However, BAL results are generally nonspecific (consistent with or suggestive of a given condition) rather than pathognomonic for ILD24
Smoking increases the cell count in BAL by approximately 500%.36,37
DIAGNOSING ILDs INVOLVES A DIVERSE TEAM OF HEALTHCARE PROFESSIONALS6,32
- Primary care physicians (PCPs) are often the first ones to recognize the initial signs of ILD and/or diseases that have ILD manifestations6
- Referral to a pulmonologist, rheumatologist, or other specialist may be required, depending on the presenting symptoms6,32
- Once interstitial lung disease is suspected, patients should be evaluated and potentially referred to an ILD Center of Excellence6
EARLY REFERRAL TO AN ILD CENTER CAN IMPROVE TIME TO DIAGNOSIS6
- Multidisciplinary discussions are recommended for diagnosing ILDs3,6,38
- ILD centers have the resources and experience to manage a multidisciplinary approach to diagnosing ILDs3,38
An ILD multidisciplinary discussion (MDD) may involve:
Pathologists, pulmonologists, radiologists, nurse practitioners & physician's assistants and rheumatologists
See also

Test your knowledge

Bridging Educational Gaps in ILD

Media Library