Histopathology Gallery
Review the features of ILD on surgical lung biopsy below.

Low magnification photomicrograph showing the fine alveolar structure of normal lung tissue.
Image courtesy of and used with permission from Kirk Jones, MD.

Higher magnification photomicrograph showing the final alveolar structure of normal lung tissue.
Image courtesy of and used with permission from Kirk Jones, MD.

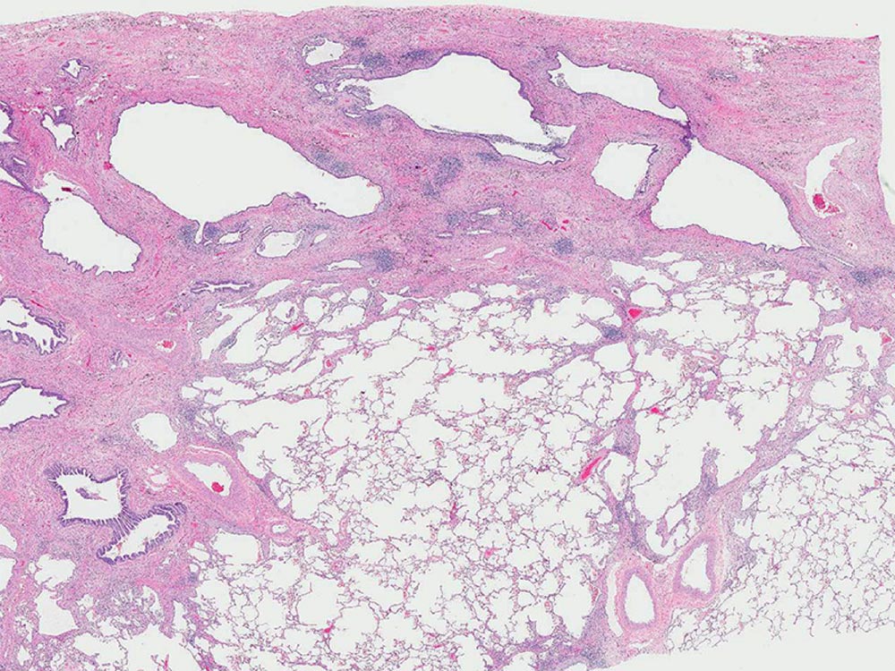
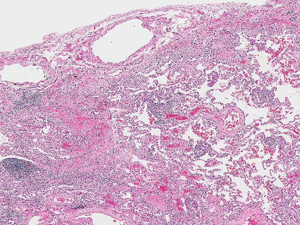
Low magnification photomicrograph showing the heterogeneous patchwork distribution of abnormalities classically seen with usual interstitial pneumonia (UIP). UIP appears as areas of fibrotic scarring with honeycomb change primarily affecting the subpleural and paraseptal parenchyma alternating with regions of normal lung tissue.
Image courtesy of and used with permission from Kirk Jones, MD.

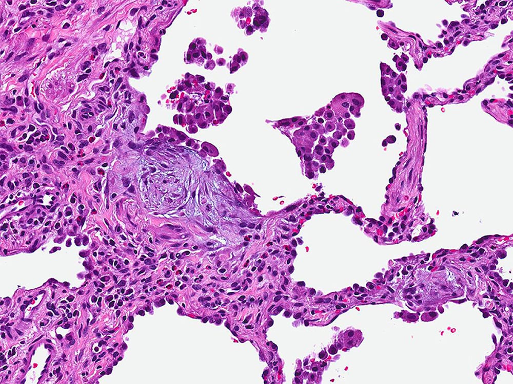
High magnification photomicrograph illustrating a fibroblast focus in a patient with usual interstitial pneumonia (UIP). Fibroblast foci are comprised of proliferating fibroblasts and myofibroblasts and are a consistent finding in UIP.
Image courtesy of and used with permission from Kirk Jones, MD.

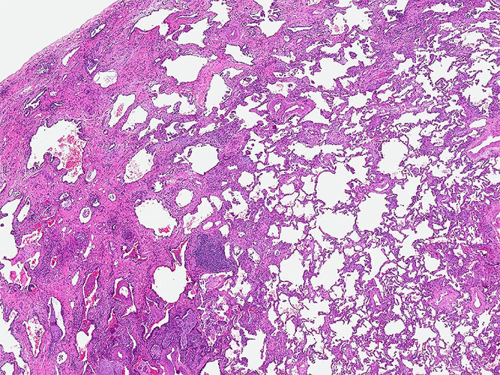
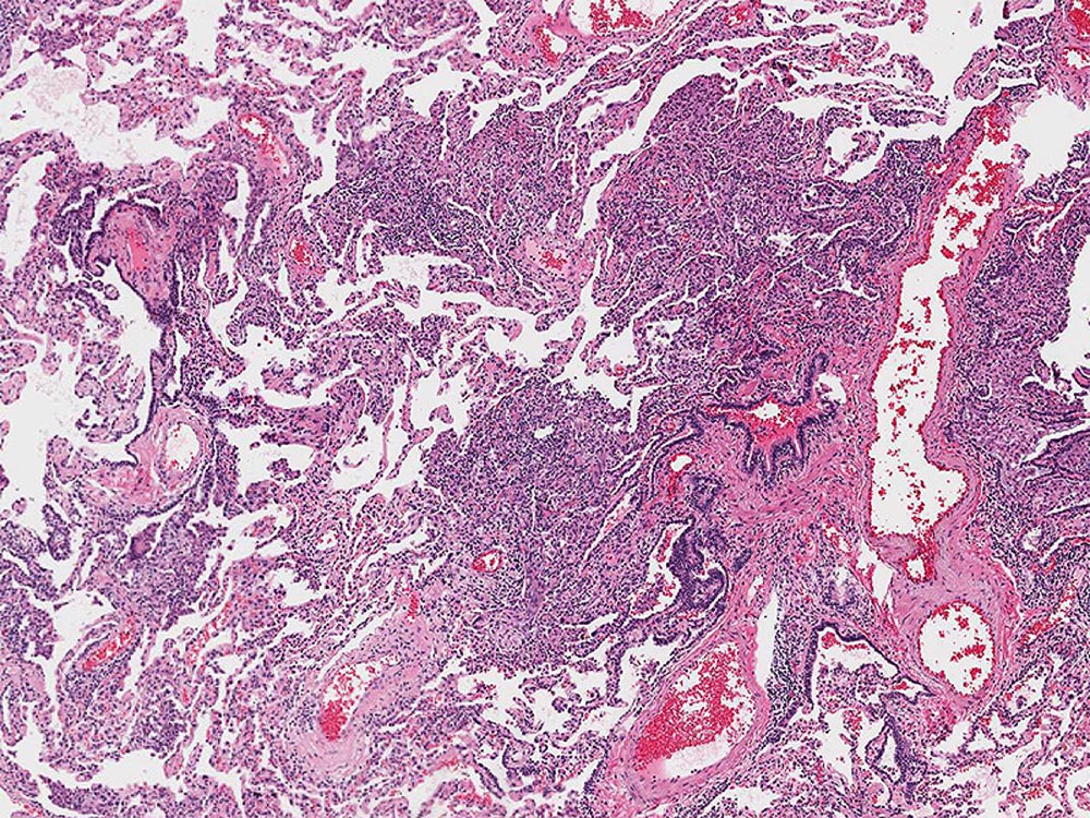
Low magnification photomicrograph showing subpleural fibrosis and honeycomb change. Unlike the heterogeneity of fibrosis seen with usual interstitial pneumonia (UIP), the process seen here is homogeneous throughout the lung and is and typical of fibrosing nonspecific interstitial pneumonia (NSIP).
Image courtesy of and used with permission from Kirk Jones, MD.

High resolution photomicrograph of a fibroblast focus in a patient with fibrosing nonspecific interstitial pneumonia (NSIP).
Image courtesy of and used with permission from Kirk Jones, MD.

Low magnification photomicrograph illustrating prominent inflammation and airway-centered fibrosis in a patient with hypersensitivity pneumonitis.
Image courtesy of and used with permission from Kirk Jones, MD.

Side-by-side comparison of photomicrographs from patients with usual interstitial pneumonia (UIP, left) and nonspecific interstitial pneumonia (NSIP, right). Note the similarity in the abnormality but the difference in distribution. UIP is a heterogeneous process, interspersed with normal lung, whereas NSIP is more homogeneous, affecting the entire lung.
Images courtesy of and used with permission from Kirk Jones, MD.

Low magnification photomicrograph illustrating subpleural fibrosis in a patient with hypersensitivity pneumonitis.
Image courtesy of and used with permission from Kirk Jones, MD.

Low-resolution photomicrograph illustrating the peribronchiolar fibrosis typical of chronic hypersensitivity pneumonitis.
Image courtesy of and used with permission from Kirk Jones, MD.

High resolution photomicrograph illustrating small interstitial granulomas typical of hypersensitivity pneumonitis.
Image courtesy of and used with permission from Kirk Jones, MD.