Patients reporting dyspnea should undergo complete pulmonary function tests (PFTs)1-7
- Reduced FVC, TLC, and DLco are typical findings in patients with interstitial lung disease (ILD)
- Spirometry may suggest restriction (low FVC with a normal FEV1/FVC ratio)
- Spirometry flow-volume loops are helpful in the detection of large airway abnormalities, such as pulmonary fibrosis
- A small and concave or scooped curve suggests obstructive disorders, such as COPD and asthma
- A small curve with steep slope suggests restrictive disorders, such as ILDs and chest wall deformities

Normal PFTs do not rule out ILD4
Determine blood oxygen saturation level with oximetry8
Patients with ILD will often desaturate with minimal exercise. This desaturation will occur earlier, and be more noticeable, than with other conditions such as CHF and COPD.
- Walk the patient in a hallway or on a staircase
- Try to elicit exertional dyspnea if possible
- Measure SpO2 before and after walking
- A 3% drop in SpO2 indicates exertional desaturation
- Walk the patient again with a pulse oximeter
- Determine oxygen flow that prevents desaturation below 88%
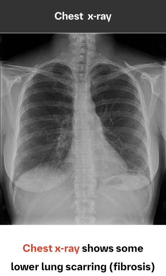
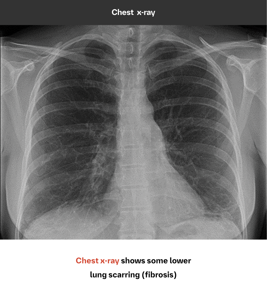
While chest x-ray is not sensitive for ILD diagnosis, it can play a role in identification9,10
Because HRCT provides a more accurate picture of the lungs than chest x-ray, it is considered the standard in diagnosing ILD. However, chest x-ray can detect pulmonary abnormalities and complications, and may even show signs of ILD prior to the development of symptoms or physiological impairment.
An abnormal chest x-ray is often the first indication of ILD
Case study used with permission from the American Thoracic Society.
Image and case study courtesy of, and used with permission from, Lydia Chelala, MD.Findings on chest x-rays suggestive of ILD may include features of interstitial changes and/or airspace disease, such as10-12:
- Reticular lines or scarring
- Volume loss, hilar retraction, or architectural distortion
- Honeycombing
- Nodules
- Ground-glass opacification or air bronchograms
- Cysts or cystic change
Interstitial lung abnormalities may incidentally be detected on other routine scans13-15
Reporting interstitial lung abnormalities (ILAs) can help patients receive earlier evaluation. ILAs may be reported on scans ordered for reasons unrelated to ILD, such as:
- Lung cancer screenings
- CT taken for another reason (eg, evaluation for thromboembolic disease, trauma, abdominal imaging)
Take note of any additional findings and consider referring to a lung specialist for further evaluation if ILAs are reported.

of patients with lung abnormalities were found to progress over time16
Reporting ILAs led to over 2x more pulmonology referrals17
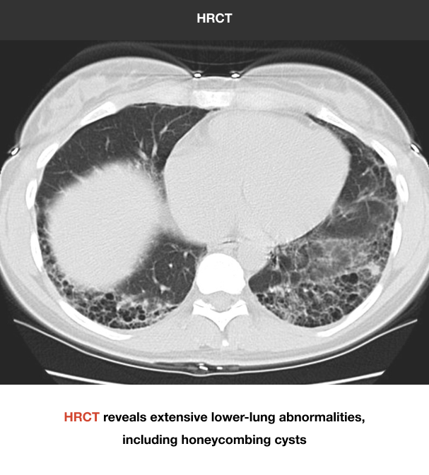
HRCT is the standard in diagnosing ILD9
HRCT allows for the recognition of fibrosis and other abnormalities that may not be apparent on chest x-ray. Below is a comparison of imaging from a 43-year-old female with 3 weeks of sinus congestion and clear sputum production after running:


Case study used with permission from the American Thoracic Society.
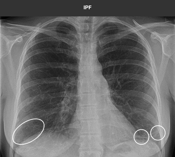
Recognizing pulmonary fibrosis early on HRCT is critical18-20
When ILD is suspected in the primary care setting, consider follow-up evaluation by a pulmonologist. Early referral can enable early access to HRCT and multidisciplinary evaluation, the key to early and accurate diagnosis of fibrotic ILDs.
Take prompt action if ILD is suspected and refer to a lung specialist
for further evaluation4
CHF, congestive heart failure; COPD, chronic obstructive pulmonary disease; DLCO, diffusing capacity of the lungs for carbon monoxide; FEV1, forced expiratory volume in 1 second; FVC, forced vital capacity; HRCT, high-resolution computed tomography; SpO2, blood oxygen level; TLC, total lung capacity.
References
- Global Initiative for Chronic Obstructive Lung Disease (GOLD). Spirometry For Health Care Providers. 2010:1-14.
- Pellegrino R et al. Eur Respir J. 2005;26(5):948-968.
- Ryu JH et al. Mayo Clin Proc. 2007;82(8):976-986.
- Zibrak JD, Price D. NPJ Prim Care Respir Med. 2014;24:14054.
- Ranu H et al. Ulster Med J. 2011;80(2):84-90.
- Al-Ashkar F et al. Cleve Clin J Med. 2003;70(10):866-881.
- Wood KL. Airflow, lung volumes, and flow-volume loop. In: MSD Manual April 2022. Accessed December 9, 2024. www.msdmanuals.com/en-gb/professional/pulmonary-disorders/tests-of-pulmonary-function-pft/airflow-lung-volumes-and-flow-volume-loop
- Lederer D. A pulmonary fibrosis primer for doctors. Pulmonary Fibrosis: Clearing the Air. Accessed July 12, 2017. http://www.pfdoc.org/2014/07/a-pulmonaryfibrosis-primer-for-doctors.html. Published July 27, 2014.
- Walsh SLF et al. Eur Respir Rev. 2018;27(150):180073.
- Lynch DA. Imaging of diffuse parenchymal lung diseases. In: Schwarz MI, King TE Jr, eds. Interstitial Lung Disease. 5th ed. People’s Medical Publishing House; 2011: 109-110.
- Chae KJ et al. Korean J Radiol. 2021;22(3):454-463.
- Palmucci S et al. Insights Imaging. 2014;5(3):347-364.
- Hoffman TW et al. BMC Pulm Med. 2022;22:329.
- Ledda RE et al. Insights into Imaging. 2022;13:6.
- Patel PR, De Jesus O. CT Scan. In: StatPearls [Internet]. Accessed December 23, 2024. https://www.ncbi.nlm.nih.gov/books/NBK567796/
- Hatabu H et al. Radiology. 2019;291(1):1-3.
- Oldham JM. Ann Am Thorac Soc. 2018;15(6):764-766.
- Cottin V et al. Eur Respir Rev. 2018;27(150):180076.
- Molina-Molina M et al. Expert Rev Resp Med. 2018;12(7):537-539.
- Oldham JM, Noth I. Respir Med. 2014;108(6):819-829.
- Wijsenbeek M, Cottin V. N Engl J Med. 2020;383:958-968.
